diş hassasiyeti

Diş Hassasiyeti Nasıl Geçer?

İçindekiler

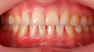
Diş hassasiyeti, soğuk, sıcak, tatlı veya ekşi yiyecek ve içeceklerle temas ettiğinde dişlerde hissedilen rahatsız edici bir ağrı olarak tanımlanır. Hassasiyet, çoğunlukla diş eti çekilmesi, aşınmış mine tabakası veya çatlak dişler gibi sorunların tepkimesi olarak ortaya çıkar. Bu sorunu hafifletmek için kullanılan yöntemler arasında, diş minesini güçlendiren florür jelleri veya hassas dişler için tasarlanmış diş macunları bulunur. Bu ürünler, diş yüzeylerini kaplayarak ağrıya sebep olan uyaranların dişin iç kısmına ulaşmasını engeller. Ancak, diş hassasiyetinin devam etmesi durumunda, altta yatan nedenin profesyonel bir diş hekimi tarafından değerlendirilmesi gerekmektedir.

Diş Eti Hassasiyeti Nedenleri

Diş eti hassasiyeti, birçok farklı faktörün bir araya gelmesiyle meydana gelebilir ve genellikle diş etlerinde rahatsızlık, ağrı ya da sıcak ve soğuk gıdalara karşı aşırı duyarlılık şeklinde kendini gösterir. Temel nedenler arasında yanlış diş fırçalama teknikleri, sert diş fırçalarının kullanımı, diş eti hastalıkları ve plak birikimi sayılabilir. Özellikle çok sert bir şekilde veya yanlış teknikle diş fırçalama, diş etlerinin yıpranmasına ve çekilmesine neden olabilmektedir. Bu da diş köklerinin açığa çıkması ile birlikte diş hassasiyetine yol açar. Diş eti çekilmesi, diş köklerindeki dentin tabakasının ortaya çıkmasına ve bu tabakadaki mikro kanallar aracılığıyla sinirlere ulaşan dış etkenlerin ağrıya neden olmasına yol açar.

Diğer bir yaygın neden ise diş eti hastalıklarıdır. Gingivitis (diş eti iltihabı) ve periodontitis (diş eti hastalığının ileri safhası) gibi durumlar, diş eti kanaması ve hassasiyetine yol açabilmektedir. Bu hastalıklar, düzenli olarak temizlenmeyen plak ve tartar birikimi sonucunda oluşur. Plak, bakterilerin diş etlerinde enfeksiyona neden olmasına ve iltihaplanmaya yol açmasına sebep olan yapışkan ve renksiz bir tabakadır. İltihaplanma, diş etlerinin daha da hassaslaşmasına ve hatta zarar görmesine neden olabilmektedir. Diş eti hastalıklarının önlenmesi ve tedavi edilmesi, diş eti hassasiyetinin azaltılması için kritik öneme sahiptir. Bu nedenle, düzenli diş hekimi ziyaretleri ve iyi bir ağız hijyeni, diş eti sağlığının korunmasında anahtar rol oynar.

Yanlış Fırçalama Alışkanlıkları ve Diş Eti Hassasiyeti Üzerine Etkileri

Yanlış fırçalama alışkanlıkları, diş eti hassasiyetinin en yaygın nedenlerinden biridir. Bu, genellikle aşırı kuvvet kullanarak veya sert kıllı bir diş fırçası ile dişlerin fırçalanması sonucu meydana gelir. Aşırı kuvvet, zamanla diş etlerinin çekilmesine ve diş minesinin aşınmasına neden olabilir. Diş eti çekilmesi, dişin koruyucu tabakasını oluşturan minenin altındaki dentin tabakasını açığa çıkarır. Dentin tabakası, sıcak, soğuk veya tatlı gıdalara karşı hassasiyeti tetikleyen mikro kanallara sahiptir. Bu durum, günlük yaşamda rahatsız edici ağrılara ve diş eti hassasiyetine yol açar. Dolayısıyla, yanlış fırçalama tekniklerinin diş sağlığı üzerinde uzun vadeli olumsuz etkileri büyüktür.

Ücretsiz Danışmanlık Alın
Sorularınız mı var? Bilgilerinizi bırakın, size en kısa sürede geri dönelim.
WhatsApp'tan Yazın

Diş eti hassasiyetinin önlenmesinde doğru fırçalama tekniklerinin öğrenilmesi ve uygulanması büyük önem taşır. Yumuşak kıllı bir diş fırçası kullanmak ve dişleri nazikçe, dairesel hareketlerle fırçalamak, diş eti çekilmesini ve diş minesinin aşınmasını önlemektedir. Ayrıca, fırçalama sırasında diş etlerini koruyacak şekilde fırçanın doğru açıda tutulması gerekmektedir. Bu basit değişiklikler, diş etlerinin sağlığını korumak ve diş hassasiyetini önlemek için etkili birer yöntemdir.

You May Also Like