Можно ли удалить имплант? является одним из самых часто задаваемых вопросов в современной стоматологии. Многие пациенты, планирующие имплантацию, хотят понять, является ли эта конструкция постоянной или ее можно удалить в будущем. Идея о том, что Имплант может быть одновременно фиксированным и потенциально удаляемым решением, на первый взгляд кажется противоречивой, однако в клинической практике у этого есть четкое объяснение.

Можно ли удалить имплант? Клиническая реальность вопроса
Вопрос Можно ли удалить имплант? чаще всего возникает из-за сравнения имплантов со съемными протезами. Однако современные имплантационные системы создаются для интеграции с костной тканью и долгосрочной стабильности.
Имплант предназначен для того, чтобы со временем стать частью челюстной системы благодаря процессу остеоинтеграции. Это биологическое соединение кости и поверхности импланта делает его стабильным и долговечным.
Тем не менее удаление возможно. Оно не является частью стандартной цели лечения, но может понадобиться в редких клинических ситуациях, связанных с осложнениями или неудачным приживлением.
Планирование имплантации и биологическая адаптация
Успех имплантации начинается задолго до установки. Перед процедурой оцениваются состояние кости, десен и общее здоровье пациента. На этом этапе прогнозируется поведение Имплант с точки зрения биологической совместимости.
Биосовместимость означает, что организм не воспринимает материал как чужеродный объект. Именно поэтому широко используется титан.
Основные факторы планирования:
- Плотность и объем костной ткани
- Состояние десен
- Распределение жевательной нагрузки
- Общее состояние здоровья
- Гигиена полости рта
Все эти параметры влияют на долгосрочную стабильность импланта.
Дополнительную информацию можно найти в источнике ВОЗ о здоровье полости рта.
Остеоинтеграция и стабильность импланта
После установки начинается процесс остеоинтеграции. В этот период костная ткань постепенно соединяется с поверхностью импланта, формируя прочную биологическую связь.
Поверхность Имплант специально разработана на микроскопическом уровне для улучшения клеточного прикрепления. Это превращает имплант в функциональную часть челюсти.
Основные этапы остеоинтеграции:
- Начальная фаза заживления
- Клеточная адаптация
- Ремоделирование костной ткани
- Полная интеграция
После завершения этого процесса имплант становится стабильным и ведет себя как естественный зуб.
Можно ли удалить имплант? Клинические показания
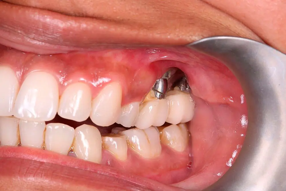
Хотя импланты предназначены для долгосрочного использования, в некоторых случаях их удаление необходимо. Такие ситуации встречаются редко, но имеют клиническое значение.
Основные причины удаления Имплант:
- Воспаление вокруг импланта (периимплантит)
- Недостаточная остеоинтеграция
- Механическое повреждение или перелом
- Неправильное положение импланта
Решение принимается на основе диагностики и клинической картины пациента.
Этапы клинического анализа:
- Рентгенологическое обследование
- Оценка состояния кости
- Планирование хирургического вмешательства
- Возможное планирование повторной установки
Каждый случай рассматривается индивидуально.
Дополнительные клинические материалы доступны в ресурсах AAOMS.

Процедура удаления импланта и клинические особенности (Имплант)
Если удаление необходимо, процедура проводится в контролируемых условиях. Это не стандартная манипуляция и требует точного хирургического подхода.
Имплант отделяется от костной ткани с максимальным сохранением окружающих структур.
Основные цели процедуры:
- Сохранение костной ткани
- Минимизация травмы
- Контроль инфекции при ее наличии
- Подготовка к дальнейшему лечению
После удаления часто требуется период заживления перед следующими этапами восстановления.
Долгосрочное поведение имплантов в полости рта
Со временем импланты взаимодействуют с окружающими тканями. Хотя они рассчитаны на долговечность, биологические факторы могут влиять на их состояние.
Имплант, при правильной интеграции, может служить долгие годы, однако требует регулярного наблюдения.
Основные факторы долгосрочного контроля:
- Уровень костной ткани
- Состояние десен
- Баланс жевательной нагрузки
- Гигиена полости рта
Небольшие изменения не всегда означают проблему, но требуют наблюдения.
Клинический взгляд на долговечность имплантов
Зубные импланты считаются одним из самых предсказуемых решений в стоматологии. Однако результат зависит от множества факторов.
Успех Имплант определяется хирургической точностью, биологической реакцией организма и уходом пациента.
Ключевые показатели успеха:
- Первичная стабильность
- Здоровая костная реакция
- Правильное распределение нагрузки
- Отсутствие хронического воспаления
При соблюдении этих условий импланты могут функционировать очень долго.
Вопрос Можно ли удалить имплант? не имеет простого ответа. В стандартных условиях Имплант является фиксированной и долгосрочной конструкцией, предназначенной для интеграции с костной тканью. Удаление рассматривается только в исключительных клинических ситуациях, таких как воспаление, отсутствие приживления или механические осложнения.
В целом имплантация является надежным и биологически интегрированным методом восстановления зубов, однако каждый случай требует индивидуальной оценки.