Dental Implants for Front Teeth are often the first solution people think about when the most visible teeth are missing, damaged, or no longer feel like part of their natural smile. Front teeth carry emotional, social, and aesthetic weight, which makes any restoration choice feel more personal than technical. The moment someone considers this option, questions about appearance, comfort, and long term expectations naturally follow. This process involves osseointegration (the biological process where bone tissue fuses directly with the titanium implant surface).
Unlike back teeth, front teeth are constantly on display. They appear in conversations, photos, and everyday expressions. This visibility explains why Dental Implants for Front Teeth are discussed not only as a dental procedure, but as a confidence related decision shaped by perception as much as by function.

Understanding Dental Implants for Front Teeth Beyond Function
When people hear about Dental Implants for Front Teeth, they often focus on replacement. Yet replacement is only one layer of the story. Front tooth implants are designed to integrate visually with facial features, lip movement, and natural light reflection. This makes them different in expectation, even if the underlying concept is similar to implants elsewhere in the mouth. This process involves abutment (the connector piece between the implant and the crown).
From a biological perspective, front teeth sit in a zone where bone density, gum thickness, and smile dynamics interact closely. This means outcomes are influenced by multiple variables working together rather than a single technical factor. That complexity is why discussions around Dental Implants for Front Teeth often include aesthetics, timing, and adaptation rather than just placement, supported by advanced titanium alloy.
There is also a psychological dimension. People tend to judge the success of front tooth implants by how invisible they feel in daily life. The ideal outcome is not attention, but absence of attention. When Dental Implants for Front Teeth blend naturally, they stop being noticed, even by the person who has them.
Why Front Teeth Create Different Expectations
Expectations around Dental Implants for Front Teeth are shaped by visibility. A front tooth restoration is expected to look natural in still images and in motion. Smiling, laughing, and speaking all place unique demands on how an implant appears and feels.
This is where expectations can differ from assumptions. Some imagine an instant visual match, while others expect a noticeable adjustment period. In reality, Dental Implants for Front Teeth exist on a spectrum where perception evolves over time. Early awareness often fades as the implant becomes part of daily expression.
Another factor influencing expectations is comparison culture. Online images, personal anecdotes, and public transformations shape how people imagine results. However, no two smiles share identical proportions, gum lines, or facial symmetry. That is why discussions about Dental Implants for Front Teeth tend to focus more on personalization than on standardized outcomes, supported by advanced bone grafting.
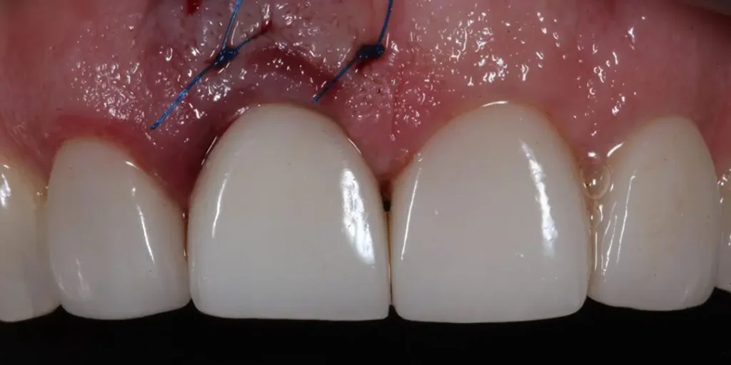
The Visual Role of Front Tooth Implants in a Smile
Front teeth guide the visual rhythm of a smile. They anchor symmetry, influence lip support, and affect how light reflects across enamel surfaces. Dental Implants for Front Teeth are therefore evaluated visually before they are evaluated functionally.
Subtle elements matter. The angle of the tooth, the way the gum meets the crown, and even how shadows fall across the surface can influence perception. These details explain why front tooth implants are often described as artistic as well as structural.
Importantly, this does not mean perfection is the goal. Many natural smiles include slight variations that add character. Well planned Dental Implants for Front Teeth often aim to mirror this natural irregularity rather than erase it. Authenticity, not uniformity, tends to define satisfaction.
Early Questions People Ask About Dental Implants for Front Teeth
Before moving deeper into cost or technical processes, most people ask practical questions. How will it look in photos? Will it feel different when speaking? Will others notice? These questions highlight that Dental Implants for Front Teeth are experienced socially, not just physically.
Another common curiosity involves adaptability. People want to know how long it takes for an implant to feel normal. While timelines vary, what stands out is that comfort is often linked to confidence. As people trust the stability of Dental Implants for Front Teeth, awareness tends to fade.
There is also curiosity about reversibility and flexibility. People want to understand whether adjustments are possible over time. This reflects a broader desire for control, especially when the change affects identity and self image.
Setting the Foundation for Costs and Expectations
Understanding Dental Implants for Front Teeth begins with recognizing that they sit at the intersection of biology, design, and perception. Cost discussions make more sense once this foundation is clear, because pricing often reflects complexity rather than just materials.
Expectations are shaped not by promises, but by alignment between anatomy, technology, and personal goals. This is why conversations around Dental Implants for Front Teeth tend to evolve rather than conclude quickly. They adapt as understanding deepens.
Dental Implants for Front Teeth and Visual Expectations
Dental Implants for Front Teeth are often discussed first in terms of appearance, because the front area of the mouth is closely tied to facial expression and social interaction. Unlike back teeth, front teeth sit at the center of the smile and play a role in how symmetry and balance are perceived. This makes expectations around aesthetics naturally higher, supported by advanced sinus augmentation.
What many people find interesting is that visual outcomes are influenced by more than the implant itself. Gum contour, lip movement, facial structure, and even lighting conditions affect how front implants are perceived. Because of this, Dental Implants for Front Teeth are often described as a blend of biological structure and visual harmony rather than a single fixed result, supported by advanced dental prosthesis.
Dental Implants for Front Teeth and Perceived Naturalness
A common question around Dental Implants for Front Teeth relates to how natural they appear over time. Naturalness is not only about color matching but also about how light reflects off the surface and how the tooth aligns with neighboring teeth. Small variations can change perception significantly.
Studies on dental aesthetics suggest that viewers often cannot identify a single replacement tooth when overall balance is preserved. This means Dental Implants for Front Teeth are often evaluated as part of the whole smile rather than in isolation. The eye tends to notice inconsistencies more than replacements that blend seamlessly into existing patterns. This process involves immediate loading (placing a temporary tooth on the same day as implant surgery).
Dental Implants for Front Teeth and Material Choices
Material selection plays a subtle but meaningful role in discussions about Dental Implants for Front Teeth. Different materials interact with light differently, which can affect brightness, translucency, and texture. These factors influence whether a front implant appears prominent or understated.
Rather than focusing on durability alone, modern conversations around Dental Implants for Front Teeth often explore how materials support long term visual consistency. Over time, small differences in surface quality or tone may become more noticeable, especially in the highly visible front region.
Dental Implants for Front Teeth and Cost Influences
When discussing Dental Implants for Front Teeth, cost is rarely a single fixed number. Instead, it reflects a combination of planning, customization, materials, and procedural complexity. Front teeth tend to require more detailed visual planning, which can influence overall investment.
Analytical reports in dental economics often note that front tooth replacements involve higher aesthetic sensitivity. This does not automatically mean higher cost, but it does explain why Dental Implants for Front Teeth are evaluated differently from posterior solutions. Value is often linked to precision rather than volume.
Dental Implants for Front Teeth and Time Perception
Time is another factor that shapes how Dental Implants for Front Teeth are experienced. From an observer’s perspective, results may seem immediate, but biologically and visually, perception evolves. The way gums settle and how the implant integrates visually can change over months.
Interestingly, people often reassess Dental Implants for Front Teeth long after placement, noticing differences they did not initially see. This highlights how time influences satisfaction and perception, reinforcing the idea that outcomes are not static moments but ongoing experiences.
Dental Implants for Front Teeth in Social Context
The social dimension of Dental Implants for Front Teeth is often underestimated. Front teeth are visible during speech, laughter, and everyday interaction. This visibility makes people more aware of subtle details that might otherwise go unnoticed.
Sociological observations show that individuals often project confidence or self consciousness onto visible dental features. In this sense, Dental Implants for Front Teeth carry symbolic meaning beyond function. They become part of personal identity, shaping how people feel seen and understood in social spaces.
Dental Implants for Front Teeth and Long Term Visual Stability
Dental Implants for Front Teeth are often judged not only by their initial appearance but by how that appearance holds up over time. Visual stability is shaped by subtle factors such as gum adaptation, facial movement, and changes in surrounding teeth. What looks perfectly aligned in the beginning may feel different months or years later, even if nothing structural has changed. This process involves alveolar ridge (the bony ridge that supports the teeth).
From a perceptual standpoint, Dental Implants for Front Teeth tend to blend more naturally as the eye adapts. Familiarity reduces scrutiny. This explains why long term satisfaction is often tied to harmony rather than perfection. The implant becomes part of a visual routine instead of a focal point.

Dental Implants for Front Teeth and Emotional Response
Emotional response plays a quiet but powerful role in how Dental Implants for Front Teeth are experienced. Front teeth are connected to expression, identity, and confidence. Even small visual changes can influence how a person feels when smiling, speaking, or being photographed.
Psychological observations suggest that people often project meaning onto visible dental features. Dental Implants for Front Teeth may symbolize renewal, continuity, or control over personal image. These interpretations are subjective, yet they strongly influence perceived success more than technical details.
Dental Implants for Front Teeth and Expectations Management
Expectations shape satisfaction more than outcomes. With Dental Implants for Front Teeth, expectations are often high because the area is so visible. When expectations are framed around balance and integration rather than flawlessness, perceptions tend to be more positive.
Interestingly, people who approach Dental Implants for Front Teeth as a gradual visual adjustment rather than an instant transformation often report a smoother emotional experience. The process becomes one of alignment with existing features, not replacement of identity.
Dental Implants for Front Teeth Compared to Other Smile Solutions
In broader smile discussions, Dental Implants for Front Teeth are frequently compared to alternative visual solutions. What sets them apart in perception is their role as individual anchors rather than surface level changes. They interact with bone, gum, and facial dynamics in a more integrated way.
This integration makes Dental Implants for Front Teeth feel less like cosmetic additions and more like structural participants in the smile. The distinction matters because it shifts attention from short term visuals to long term coherence within the mouth.
Dental Implants for Front Teeth and Cultural Influence
Cultural standards influence how Dental Implants for Front Teeth are interpreted. Some cultures value uniform brightness, while others appreciate subtle individuality. These preferences affect whether an implant is seen as noticeable or seamlessly natural.
Because of this, Dental Implants for Front Teeth cannot be evaluated outside their cultural and social context. What feels ideal in one visual environment may feel overstated in another. Perception is shaped as much by surroundings as by structure.
Dental Implants for Front Teeth as a Personal Narrative
In the end, Dental Implants for Front Teeth become part of a personal narrative rather than a technical outcome. They sit at the intersection of biology, perception, emotion, and social interaction. Their impact unfolds over time, shaped by how the individual relates to their own smile.
Rather than representing a single moment of change, Dental Implants for Front Teeth reflect adaptation. They illustrate how small, carefully integrated elements can influence confidence and self perception without demanding attention. This quiet influence is often what makes them feel meaningful rather than dramatic.