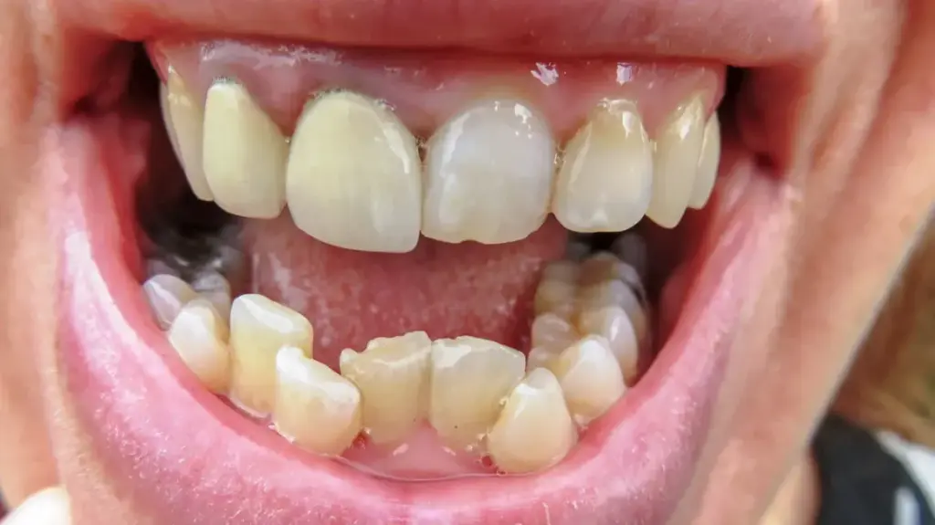
Crooked teeth are a common condition in modern societies. However, this is not merely an aesthetic issue; evolutionary processes and genetic factors also play a role in the development of crooked teeth. Changes in human dental alignment, dietary habits, and evolutionary adaptations of the jaw all contribute to the misalignment and crowding we encounter today.

Evolutionary Roots of Crooked Teeth
Throughout history, the human jaw and dental structure have undergone significant changes. Our ancestors had wide and strong jaws that could easily accommodate all their teeth, while modern humans have narrower jaws that leave insufficient space. This mismatch is one of the main evolutionary reasons for crooked teeth.
Paleontological studies show that malocclusion rates in prehistoric human fossils were remarkably low. Today, research indicates that around 60% of adults experience crooked teeth. This dramatic increase is directly linked to dietary habits and cultural evolution over time.
Genetic Factors and Jaw Structure
Genetics play a crucial role in tooth alignment. If parents have narrow jaws or misaligned teeth, the risk of crooked teeth in children increases. Additionally, inherited tooth size and jaw discrepancies, combined with modern lifestyle factors, make these issues more pronounced.
Research shows that specific genes influence dental alignment by determining jaw size, tooth dimensions, and eruption sequence, contributing to crooked teeth. Modern genetic analyses help dentists predict individual risks and plan long-term dental strategies.
Dietary Habits and Crooked Teeth
Eating habits during childhood directly affect jaw development. Consuming hard foods promotes natural jaw widening and proper tooth alignment, while soft, processed foods can limit jaw muscle activity. Consequently, the likelihood of crooked teeth increases.
For example, in ancient times, humans ate raw vegetables and tough meats, resulting in well-aligned teeth and wider jaws. Today, soft and processed foods, like white bread and fast meals, restrict jaw growth and lead to tooth crowding.
Early Tooth Loss and Crooked Teeth
Premature loss of baby teeth or delayed eruption of permanent teeth can cause misalignment. This factor accelerates crooked teeth development in children. Teeth not emerging in the correct sequence may lead to uneven space closure.
Early tooth loss can also interfere with symmetrical jaw development, leading to both aesthetic and functional issues in the long term. Dentists often implement preventive measures to manage these situations effectively.
Jaw Development and Modern Humans
Modern human jaws are significantly smaller compared to those of our ancestors. This reduction, especially in the lower jaw, causes tooth crowding and contributes to crooked teeth. Key factors include dietary changes, genetic predisposition, and evolutionary processes.
A smaller jaw prevents natural tooth alignment and increases malocclusion risk. Orthodontic research suggests that using expansion devices in childhood can support jaw growth and reduce the risk of crooked teeth.
Tooth Crowding and Modern Treatment Options
Today, there are various orthodontic treatments for crooked teeth. Braces, clear aligners, and other orthodontic devices help align teeth properly. These treatments aim not only for aesthetics but also to maintain functional balance and oral health.
Modern treatments allow individualized solutions. Digital scans and 3D planning help dentists analyze jaw and tooth alignment to design the most suitable treatment, effectively managing crooked teeth.

Societal and Cultural Implications of Crooked Teeth
Crooked teeth are not only a personal health concern but also a social and cultural phenomenon. Perceptions of dental aesthetics vary across societies, and throughout history, achieving “perfectly aligned teeth” has often symbolized status.
Today, aesthetic concerns have increased the popularity of treatments for crooked teeth, but scientists emphasize the importance of understanding evolutionary and genetic factors. As public awareness grows, individuals can achieve both aesthetically pleasing and functionally healthy teeth.
Table: Evolutionary Causes and Modern Outcomes
| Evolutionary Cause | Impact on Modern Humans | Contribution to Crooked Teeth |
|---|---|---|
| Smaller jaw | Less space for teeth | High |
| Soft diet | Weak jaw muscles | Medium-High |
| Genetic factors | Tooth size mismatch | High |
| Early loss of baby teeth | Misaligned eruption | Medium |
| Lack of preventive care | Aesthetic and functional issues | High |
External References and Research
- For a study on jaw development and dietary habits, see National Institutes of Health.
- For detailed research on evolutionary dental changes, see ScienceDirect.
Crooked teeth are directly related to human evolutionary heritage, genetics, and lifestyle factors. Jaw reduction, dietary habits, genetic predisposition, and early tooth loss are major causes of this condition. Today, orthodontic and digital solutions allow effective management of crooked teeth, but understanding the evolutionary perspective is essential for awareness on both individual and societal levels.