Diş İmplantı Parçaları ve İşlevleri
Bir diş implantı, sadece eksik bir dişi yerine koymakla kalmaz; aynı zamanda modern diş hekimliğinin işlev ve estetiği…
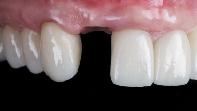
Dişler Arasındaki Boşluklar İçin En İyi 3 Çözüm
Dişler, hem estetik hem de ağız sağlığı açısından hayati bir rol oynar. Aralarındaki küçük veya büyük boşluklar, birçok…
Derin Isırık Nedir ve Nasıl Tedavi Edilir?
Derin ısırık, üst ön dişlerin alt ön dişlerin üzerine aşırı derecede binmesiyle ortaya çıkan yaygın bir diş rahatsızlığıdır.…
Diş İmplantı İçin Sinüs Grefti Gerekiyor mu?
Diş İmplantı düşünen hastalar genellikle sinüs grefti, kemik grefti veya maksiller augmentasyon gibi terimlerle karşılaşır. Sinüs grefinin gerekli…
Diş Bozukluğu: Türleri, Nedenleri, Giderleri ve Maliyetleri
Maloklüzyon, üst ve alt diş kemerleri arasındaki hizasızlığı tanımlayan klinik bir terimdir, ancak anlamı sadece çarpık dişlerden çok…
Çocuğunuzu Ortodonti Tedavisine Hazırlamak
Çocukluk dönemi, diş ve çene gelişiminin en hızlı ilerlediği evredir ve bu süreçte Ortodonti değerlendirmeleri büyük önem taşır.…
Overbite İçin Invisalign Tedavisi
Invisalign, ortodonti alanında devrim yaratarak geleneksel tel ve braketlere modern, rahat ve neredeyse görünmez bir alternatif sunuyor. Overbite…