Derin ısırık, üst ön dişlerin alt ön dişlerin üzerine aşırı derecede binmesiyle ortaya çıkan yaygın bir diş rahatsızlığıdır. Bu durum basit bir diş hizalama problemi gibi görünebilir, ancak ağız sağlığı, yüz estetiği ve genel konfor üzerinde önemli etkileri olabilir. Derin ısırık nedir, nedenleri nelerdir, olası etkileri ve tedavi seçenekleri nelerdir, anlamak hastaların bilinçli kararlar almasına yardımcı olabilir.

Derin Isırığın Mekanizmasını Anlamak
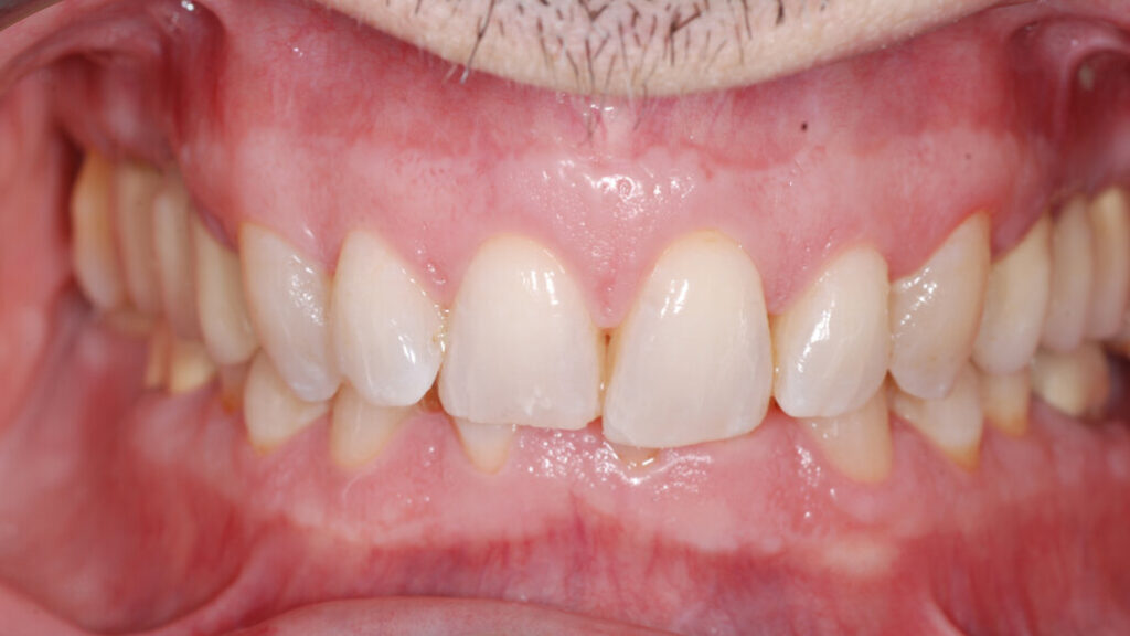
Derin ısırık, diş hekimliğinde overbite veya dikey örtüşme olarak da adlandırılır ve üst dişlerin alt dişlerin normalden fazla örtmesi durumunu ifade eder. Normalde üst ön dişler alt ön dişlerin 2–3 milimetre kadar üstüne gelir; ancak derin ısırık durumunda bu örtüşme çok daha fazladır.
Derin ısırığın nedenleri çeşitlidir. Genetik faktörler, çene boyutu ve diş hizalamasını etkileyerek önemli bir rol oynar. Parmak emme veya dil itme gibi çocukluk alışkanlıkları da katkıda bulunabilir. Ayrıca, arka dişlerin kaybı veya aşınması zamanla durumun kötüleşmesine yol açabilir.
Derin Isırık Türleri ve Farkları
Tüm derin ısırıklar aynı değildir. Diş hekimleri başlıca iki türü ayırt eder:
- İskeletsel Derin Isırık: Üst çenenin alt çeneye göre fazla büyümesiyle ortaya çıkar.
- Dişsel Derin Isırık: Çene yapısı yerine dişlerin yanlış hizalanmasından kaynaklanır.
Türün belirlenmesi, en etkili tedavi yönteminin seçimi açısından önemlidir. İskeletsel vakalarda ortodonti ve cerrahi kombinasyonu gerekebilirken, dişsel vakalar genellikle tel veya şeffaf plaklarla başarılı bir şekilde tedavi edilir.
Derin Isırığın Belirtileri ve Olası Komplikasyonlar
Bir derin ısırık, her zaman görünür olmayabilir; ancak çeşitli belirtiler gösterebilir:
- Alt dişlerde aşırı aşınma
- Çene veya temporomandibular eklem ağrısı
- Diş eti tahrişi veya çekilmesi
- Şiddetli vakalarda konuşma zorlukları
Tedavi edilmeyen bir derin ısırık, zamanla diş aşınmasının hızlanmasına, mine erozyonuna ve çiğneme güçlüğü gibi fonksiyonel problemlere yol açabilir. Ortodontik araştırmalar, erken teşhisin uzun vadeli komplikasyonları önleyebileceğini vurgular.
Derin Isırık Tanısı Nasıl Konulur?
Derin ısırık tanısı, klinik muayene ve görüntüleme yöntemleriyle konulur. Diş hekimleri şunları değerlendirir:
- Üst ve alt dişlerin dikey örtüşmesi
- Çene hizalanması
- Diş aşınma örüntüleri
- Isırma kuvvet dağılımı
Dijital sefalometrik röntgenler ve 3D taramalar gibi ileri araçlar, çene ve diş yapısının detaylı bir şekilde görülmesini sağlar. Bu veriler, kişiye özel tedavi planının oluşturulması için kritik öneme sahiptir.

Derin Isırık Tedavi Seçenekleri
Bir derin ısırık tedavisi, şiddetine ve altında yatan nedene bağlıdır. Yaygın yaklaşımlar şunlardır:
- Diş telleri: Geleneksel ortodontik teller, dişleri yavaşça hizalayarak örtüşmeyi düzeltir.
- Şeffaf plaklar: Hafif ve orta şiddetteki vakalarda görünmez bir alternatif sunar.
- Diş restorasyonları: Kron, veneer veya bonding, aşınmış dişleri restore etmek ve ısırığı düzeltmek için kullanılabilir.
- Cerrahi müdahale: Şiddetli iskeletsel vakalarda çene cerrahisi gerekebilir.
Bazen en iyi sonuç için bu yöntemlerin kombinasyonu uygulanır. Tedavi süresi, durumun karmaşıklığına göre birkaç aydan birkaç yıla kadar değişebilir.
Önleyici Tedbirler ve Uzun Vadeli Bakım
Genetik ve çene yapısı değiştirilemese de, bazı alışkanlıklar derin ısırığın kötüleşmesini önleyebilir:
- Düzenli diş kontrolleri ile erken teşhis
- Tırnak yeme, parmak emme veya diş gıcırdatma gibi alışkanlıklardan kaçınma
- Diş aşınması ve diş eti problemlerini önlemek için ağız hijyenine dikkat
Uzun vadeli başarı, tedavi sonrası tutucular veya ısırık plakları ile sağlanır. Bu yöntemler, düzeltmenin korunmasına ve geri dönüşün önlenmesine yardımcı olur.
Derin Isırığın Psikolojik ve Estetik Etkileri
Fiziksel belirtilerin ötesinde, bir derin ısırık, yüz görünümünü ve özgüveni etkileyebilir. Şiddetli overbite vakaları, çenenin geri çekik görünmesine veya gülüşün dengesiz olmasına yol açabilir. Derin ısırık tedavisi, sadece diş fonksiyonunu iyileştirmekle kalmaz, aynı zamanda yüz estetiğini ve kişinin kendine güvenini artırır.
Tablo: Normal Isırık vs Derin Isırık
| Özellik | Normal Isırık | Derin Isırık |
| Üst-alt diş örtüşmesi | 2–3 mm | >4 mm |
| Çene hizalanması | Dengeli | İskeletsel uyumsuzluk olabilir |
| Diş aşınması | Minimal | Zamanla belirgin |
| Tedavi zorluğu | Düşük-orta | Orta-yüksek |
Derin ısırık, sadece estetik bir sorun değil, ağız sağlığını ve yaşam kalitesini etkileyen fonksiyonel bir durumdur. Erken teşhis, kişiye özel tedavi ve düzenli takip, başarılı sonuçlar için kritik öneme sahiptir. Nedenlerini, belirtilerini ve tedavi yöntemlerini anlamak, hastaların bilinçli adımlar atmasını sağlar ve uzun vadeli ağız sağlığını korur.