Изменение цвета зубов является одной из самых распространенных эстетических тем, связанных с внешним видом улыбки. При этом именно Изменение цвета зубов чаще всего понимается поверхностно. Когда человек замечает потемнение или изменение оттенка, реакция обычно носит косметический характер. Однако Изменение цвета зубов формируется под влиянием образа жизни, биологических процессов, факторов окружающей среды и возрастных изменений.

Что такое изменение цвета зубов и как оно формируется
Изменение цвета зубов обозначает любое заметное отклонение от естественного оттенка зубов. Несмотря на распространенное мнение, зубы не являются идеально белыми от природы. Их цвет определяется толщиной эмали и оттенком дентина, расположенного под ней.
С научной точки зрения Изменение цвета зубов возникает из за изменения взаимодействия света с поверхностью зуба. Эмаль обладает полупрозрачной структурой. По мере истончения или увеличения пористости эмали дентин становится более заметным, что приводит к желтоватому или более темному виду.
Исследования в области оптики зубов показывают, что даже минимальные изменения минерального состава могут влиять на отражение света. Поэтому Изменение цвета зубов часто развивается постепенно и без очевидной причины.
Виды изменения цвета зубов по происхождению
Не каждое Изменение цвета зубов имеет одинаковую природу. В стоматологической литературе принято классифицировать изменения оттенка по источнику их возникновения. Это помогает понять, почему одни изменения затрагивают поверхность, а другие проявляются глубже.
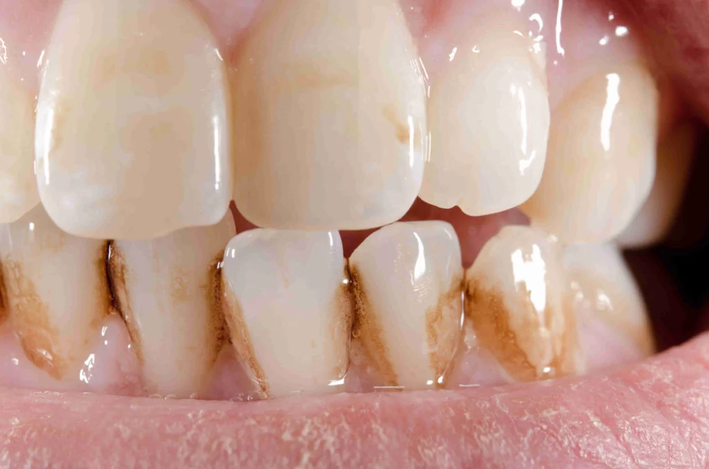
Внешнее изменение цвета зубов
Внешнее Изменение цвета зубов формируется на поверхности эмали. Чаще всего оно связано с пигментами, поступающими с пищей, напитками и окружающей средой, которые закрепляются в микроструктуре эмали.
Особенность такого Изменение цвета зубов заключается в его накопительном характере. Научные данные указывают, что длительное воздействие слабых пигментов может быть столь же значимым, как и кратковременное интенсивное воздействие. Оттенки обычно варьируются от желтых до коричневых или сероватых.
Внутреннее изменение цвета зубов
Внутреннее Изменение цвета зубов происходит в слое дентина под эмалью. Оно связано с процессами развития, системными факторами или химическими изменениями внутри зуба.
Такое Изменение цвета зубов отличается более равномерным и глубоким тоном. В научных публикациях часто отмечается, что дентин естественным образом темнеет с возрастом.
Возрастное изменение цвета зубов
Возрастное Изменение цвета зубов представляет собой сочетание истончения эмали и потемнения дентина. Со временем эти процессы формируют общий более приглушенный и теплый оттенок зубов.
Именно поэтому возрастное Изменение цвета зубов обычно затрагивает весь зубной ряд, а не отдельные участки.
Факторы повседневной жизни, влияющие на изменение цвета зубов
Причины Изменение цвета зубов выходят далеко за рамки популярных представлений. Хотя чаще всего упоминаются напитки и пища, научный взгляд охватывает гораздо более широкий спектр факторов.
Среди них выделяются:
- Пигментированные соединения в продуктах питания
- Кислая среда, повышающая пористость эмали
- Окислительные процессы в структуре дентина
- Контакт с металлами окружающей среды
- Генетические различия в толщине эмали
Важно отметить, что Изменение цвета зубов не всегда является негативным явлением. Во многих случаях оно отражает естественные биологические процессы.

Изменение цвета зубов и значение структуры эмали
При анализе Изменение цвета зубов часто недооценивается микроструктура эмали. Между тем поверхность эмали состоит из микроскопических призм и промежутков.
Любые изменения целостности эмали влияют на то, как она отражает свет. Поэтому Изменение цвета зубов может выглядеть неравномерным или более заметным при определенном освещении.
Исследования с использованием электронной микроскопии показали, что увеличение шероховатости эмали способствует удержанию пигментов. Это рассматривается не как повреждение, а как естественная адаптация со временем.
Психологическое и социальное восприятие изменения цвета зубов
Помимо биологических аспектов, Изменение цвета зубов имеет и психологическое значение. Социальные исследования указывают, что оттенок зубов может влиять на восприятие возраста, здоровья и внешней привлекательности.
Однако такие оценки зависят от культуры. В ряде обществ умеренное Изменение цвета зубов ассоциируется с естественностью и зрелостью. Это подчеркивает относительность эстетических стандартов.
Подход Livera Clinic предполагает разделение биологических фактов и субъективного восприятия при анализе Изменение цвета зубов.
Роль изменения цвета зубов в современной стоматологии
В современной практике Изменение цвета зубов рассматривается как источник информации, а не только как эстетический параметр. Оттенок может отражать толщину эмали, уровень увлажненности и историю внешних воздействий.
Цифровые технологии анализа оттенка позволяют изучать Изменение цвета зубов по зонам даже в пределах одного зуба. Такие данные подтверждают, что полностью однородный цвет встречается крайне редко.
Этот подход помогает воспринимать Изменение цвета зубов как естественную характеристику, а не как дефект.
Типичные схемы изменения цвета зубов и их интерпретация
Различные варианты Изменение цвета зубов чаще всего проявляются в определенных зонах:
| Зона изменения | Возможное объяснение |
| Линия десны | Естественное истончение эмали |
| Края зубов | Изменение светопреломления |
| Центральная поверхность | Влияние внешних пигментов |
| Общее пожелтение | Усиленная видимость дентина |
Эти схемы не являются диагностическими, но помогают лучше понять механизмы Изменение цвета зубов.
Изменение цвета зубов в исследованиях и взгляд в будущее
Современные исследования направлены на изучение Изменение цвета зубов с точки зрения биомиметики и оптики, а не только поверхностного воздействия. Изучаются способы изменения рассеивания света без вмешательства в структуру зуба.
Хотя такие технологии находятся на экспериментальной стадии, они демонстрируют высокий научный интерес к теме Изменение цвета зубов.
осознанный взгляд на изменение цвета зубов
Изменение цвета зубов представляет собой сложный процесс, формируемый биологией, временем, окружающей средой и восприятием. При научном подходе Изменение цвета зубов воспринимается не как недостаток, а как естественное проявление изменений.
В Livera Clinic ключевым является информированное понимание. Изучение причин, видов и особенностей Изменение цвета зубов помогает более объективно оценивать изменения внешнего вида зубов.