What is a dental abscess, and how does it go away? | Livera Dental Clinic

Что такое зубной абсцесс и как он проходит?

İçindekiler

Зубной абсцесс это термин, который часто звучит по-медицинскому и отстраненно, но на самом деле он отнюдь не абстрактен. Для многих людей он начинается с легкого дискомфорта, который легко игнорировать, но со временем перерастает в нечто гораздо более серьезное, требующее внимания. В этой первой части мы рассмотрим, что такое зубной абсцесс на самом деле, как он образуется и почему он так часто обсуждается как в медицинских кругах, так и в повседневной жизни.

По сути, зубной абсцесс это локализованное скопление жидкости и бактерий, которое развивается при нарушении баланса в полости рта. Ротовая полость это сложная экосистема, постоянно взаимодействующая между бактериями, слюной, эмалью и мягкими тканями. Когда этот баланс нарушается, давление повышается. Понимание этого процесса помогает объяснить, почему зубной абсцесс это не просто проблема зубов, а результат взаимодействия различных систем с течением времени.

Зубной абсцесс

Понимание зубного абсцесса как биологического процесса

Зубной абсцесс не возникает внезапно. Чаще всего он является результатом медленного биологического взаимодействия между бактериями и защитными механизмами организма. Небольшие отверстия, будь то из-за кариеса, трещин или раздражения десен, позволяют бактериям проникать глубже, чем обычно.

Когда бактерии закрепляются в области с ограниченным кровообращением, организм реагирует, направляя туда иммунные клетки. Эта реакция приводит к образованию жидкости и давления. Со временем это замкнутое пространство реакции превращается в то, что люди называют зубным абсцессом. Это скорее процесс, который тихо развивается до того, как становится заметным, а не единичное событие.

Ücretsiz Danışmanlık Alın
Sorularınız mı var? Bilgilerinizi bırakın, size en kısa sürede geri dönelim.
WhatsApp'tan Yazın

Интересно, что не каждое присутствие бактерий приводит к видимому результату. Отличительной особенностью зубного абсцесса является сочетание замкнутости и иммунного ответа. При отсутствии пространства для оттока или рассеивания область становится более концентрированной, из-за чего ощущения усиливаются и сохраняются дольше.

Почему зубной абсцесс развивается под поверхностью

Одна из причин, по которой зубной абсцесс привлекает внимание, заключается в том, что большая часть его активности происходит вне поля зрения. Зубы и десны выглядят плотными и цельными, но под ними находится сеть каналов, тканей и микроскопических путей. Эти пространства могут передавать сигналы дискомфорта задолго до появления видимых признаков.

С биологической точки зрения организм часто терпимо относится к низкому уровню раздражения. Он отдает приоритет стабильности, а не немедленной реакции. Поэтому зубной абсцесс может существовать некоторое время, прежде чем его становится невозможно игнорировать. Усиление симптомов обычно отражает пересечение определенного порога, а не резкое изменение.

Это скрытое развитие также объясняет, почему люди часто испытывают растерянность, когда симптомы усиливаются. Источник ощущается неясным, поскольку сам процесс был постепенным и внутренним. В этом смысле зубной абсцесс ставит под сомнение предположение о том, что видимые проблемы всегда рано заявляют о себе.

Различные схемы формирования зубного абсцесса

Хотя термин зубной абсцесс используется широко, он может описывать разные схемы в зависимости от того, где скапливается жидкость. Одни развиваются ближе к структуре зуба, другие формируются вдоль окружающих тканей. Эти различия влияют на то, как организм воспринимает состояние и реагирует на него.

Общее между ними заключается в схожей логике. Ограниченное пространство, присутствие бактерий и иммунная активность вместе создают давление. Именно это давление делает зубной абсцесс таким отличительным по сравнению с другими проблемами полости рта. Речь идет не просто о раздражении, а о замкнутости.

Исследователи часто описывают это как петлю обратной связи. Чем более замкнута область, тем интенсивнее становится иммунный ответ. Эта петля объясняет, почему зубной абсцесс ощущается как устойчивое, а не кратковременное состояние.

Зубной абсцесс и язык ощущений

Людям часто трудно описать, что они чувствуют при зубном абсцессе, потому что он ведет себя непоследовательно. Ощущения могут колебаться, усиливаться или временно ослабевать. Такая изменчивость отражает изменения давления, а не разрешение проблемы.

С точки зрения восприятия организм интерпретирует давление иначе, чем поверхностное раздражение. Поэтому зубной абсцесс может ощущаться как глубокая, тупая или пульсирующая боль, а не как резкая. Эти сигналы являются способом, с помощью которого нервная система сообщает о внутреннем напряжении.

Понимание этого языка ощущений помогает снять ощущение загадочности. Зубной абсцесс не является случайным дискомфортом. Он структурирован, подчиняется определенным закономерностям и реагирует на изменения внутри тканевой среды.

Почему зубной абсцесс становится повторяющейся темой

Причина, по которой зубной абсцесс так часто появляется в обсуждениях, заключается не только в его физическом воздействии, но и в символическом значении. Он показывает, как небольшие и упущенные изменения могут перерасти в сложные ситуации. Это делает его понятным и за пределами стоматологии.

В повседневных разговорах зубной абсцесс часто становится кратким обозначением чего-то, что незаметно нарастает. С научной точки зрения он служит примером того, как системы реагируют в условиях ограничений. Оба взгляда способствуют его устойчивому присутствию в общественном сознании.

Эта первая часть задает основу, представляя зубной абсцесс не как изолированную проблему, а как биологический рассказ. В следующей части внимание сместится к тому, как это состояние распознается, интерпретируется и понимается через наблюдение, а не через вмешательство.

Понимание природы зубного абсцесса

Зубной абсцесс часто описывают как локализованный очаг инфекции, но такое определение лишь поверхностно отражает его сложность. Под поверхностью зубной абсцесс представляет собой продолжающееся взаимодействие между бактериями, иммунной системой и зубными структурами. Обычно он формируется, когда бактерии получают доступ к более глубоким слоям зуба или окружающих тканей, часто через кариес, трещины или предыдущие стоматологические вмешательства.

Особый интерес представляет то, что зубной абсцесс не является внезапным событием. Он развивается постепенно. Задолго до появления боли внутри зуба начинаются микроскопические изменения. Бактерии размножаются, давление нарастает, и организм отвечает воспалением. Эта скрытая фаза объясняет, почему многие люди удивляются, когда симптомы наконец проявляются.

С биологической точки зрения зубной абсцесс является попыткой организма сдержать инфекцию. По мере того как иммунные клетки собираются для изоляции вредных бактерий, образуется гной. Хотя эта реакция носит защитный характер, она также создает давление, которое способствует боли и отеку.

Как зубной абсцесс формируется со временем

Формирование зубного абсцесса следует логической последовательности, а не случайному сценарию. Часто все начинается с кариеса, который достигает пульпы, внутренней части зуба, содержащей нервы и кровеносные сосуды. Когда бактерии проникают в это пространство, они получают доступ к богатой среде, поддерживающей быстрый рост.

По мере прогрессирования инфекции организм реагирует, направляя в область белые кровяные клетки. Эти клетки вместе с бактериями и поврежденными тканями накапливаются в виде гноя. Со временем это скопление ищет выход, что приводит к образованию абсцесса возле корня зуба или в окружающей десневой ткани.

Интересно, что не все случаи зубного абсцесса ощущаются одинаково. Одни развиваются медленно с мягкими симптомами, другие быстро обостряются. Эти различия зависят от таких факторов, как иммунный ответ, тип бактерий и сама структура зуба.

Типы зубного абсцесса и их различия

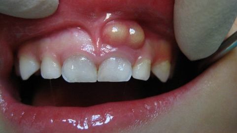
Не каждый зубной абсцесс возникает в одном и том же месте. В клинической практике абсцессы часто классифицируют по их расположению. Каждый тип развивается по немного отличающемуся пути и создает свои характерные ощущения.

Периапикальный абсцесс развивается на верхушке корня зуба и обычно связан с нелеченным кариесом или травмой. Пародонтальный абсцесс, напротив, формируется в деснах и часто связан с заболеванием десен. Существует также гингивальный абсцесс, который ограничивается тканями десны и не затрагивает сам зуб.

Несмотря на эти различия, все формы зубного абсцесса имеют одну общую черту, а именно запертую инфекцию. Понимание типа помогает объяснить, почему симптомы могут различаться и почему ощущения отличаются у разных людей.

Симптомы, формирующие опыт зубного абсцесса

Симптомы зубного абсцесса не ограничиваются болью. Хотя дискомфорт распространен, многие люди сначала замечают давление, чувствительность или отек. Эти ощущения могут меняться, иногда временно ослабевая, а затем возвращаясь с большей интенсивностью.

Характерной особенностью зубного абсцесса является способность симптомов распространяться. Боль может отдавать в челюсть, ухо или шею, создавая путаницу в определении источника. В некоторых случаях появляется неприятный вкус или запах, когда абсцесс начинает самостоятельно дренироваться.

Также важно отметить, что симптомы не всегда соотносятся с тяжестью состояния. Относительно небольшой зубной абсцесс может ощущаться очень интенсивно, тогда как более крупный может оставаться удивительно малозаметным в течение некоторого времени. Эта непредсказуемость является одной из причин, по которой состояние так часто обсуждается.

Почему зубной абсцесс иногда кажется исчезнувшим

Одним из самых загадочных аспектов зубного абсцесса является то, что симптомы могут временно исчезать. Это часто происходит, когда давление снижается, либо за счет самопроизвольного дренирования, либо из-за уменьшения воспаления. В таких случаях люди могут предположить, что проблема решена.

На самом деле основная инфекция часто сохраняется. Временное облегчение не является излечением, а лишь изменением динамики давления. Бактерии могут продолжать существовать и действовать под поверхностью даже тогда, когда дискомфорт уменьшается.

Этот цикл обострения и затишья способствует неправильному пониманию того, как зубной абсцесс действительно проходит. Отсутствие боли не обязательно означает разрешение проблемы. Скорее это отражает изменение того, как организм и инфекция взаимодействуют в данный момент.

Более широкая биологическая история зубного абсцесса

За пределами зубов и десен зубной абсцесс иллюстрирует то, как организм ведет своего рода переговоры с инфекцией. Он показывает баланс между сдерживанием и нарастанием. Иммунная система стремится изолировать бактерии, но структурные ограничения полости рта создают точки давления.

С анатомической точки зрения зубы являются жесткими структурами с ограниченным пространством. Когда внутри них возникает воспаление, отеку просто некуда распространяться. Это ограничение является ключевой причиной того, почему зубной абсцесс вызывает столь характерные ощущения по сравнению с инфекциями в других частях тела.

Понимание этого более широкого биологического контекста помогает объяснить, почему зубной абсцесс запоминается не только как стоматологическая проблема, но и как яркое физическое переживание. Именно сочетание ограниченной анатомии, иммунного ответа и активности бактерий придает этому состоянию его уникальный характер.

Как люди представляют себе, что зубной абсцесс проходит

Когда люди спрашивают, как проходит зубной абсцесс, они часто описывают переживание, а не медицинский процесс. Наиболее распространенное убеждение заключается в том, что облегчение боли означает решение проблемы. Если отек уменьшается или дискомфорт исчезает, кажется логичным предположить, что все закончилось.

Это убеждение подкрепляется тем, как организм управляет давлением. Когда абсцесс дренируется, либо естественным образом, либо за счет уменьшения воспаления, симптомы могут быстро ослабнуть. Ощущение облегчения реально, но оно отражает изменение давления, а не обязательно конец инфекции. Именно поэтому зубной абсцесс часто вспоминается как состояние, которое приходит и уходит.

С культурной точки зрения многие люди также связывают инфекции с видимыми признаками. Когда покраснение или отек больше не очевидны, внимание переключается на другое. Поэтому тихая фаза зубного абсцесса может ошибочно ощущаться как окончательная.

Роль времени и иммунного ответа при зубном абсцессе

Время играет интересную роль в том, как воспринимается зубной абсцесс. Иммунная система постоянно активна и пытается сдерживать и нейтрализовать бактерии. В некоторых случаях эта реакция может ограничивать внешние симптомы на протяжении длительного времени.

Это не означает, что инфекция исчезла. Скорее иммунная система удерживает ее под контролем. Абсцесс может оставаться в спящем состоянии, при этом бактерии выживают в режиме низкой активности. Это объясняет, почему зубной абсцесс может появиться снова через недели или даже месяцы, часто неожиданно.

С биологической точки зрения это продолжающееся противостояние между бактериями и иммунитетом усиливает ощущение неопределенности. Отсутствие симптомов воспринимается как выздоровление, однако внутренние процессы могут все еще развиваться.

Зубной абсцесс

Распространенные заблуждения о зубном абсцессе

Одно из самых распространенных заблуждений заключается в том, что одни только антибиотики заставляют зубной абсцесс исчезнуть. Хотя они могут снижать бактериальную нагрузку и воспаление, они не всегда устраняют структурную причину, такую как поврежденная пульпа или замкнутые пути инфекции.

Еще одно предположение состоит в том, что отток гноя полностью решает проблему. Дренирование снижает давление и дискомфорт, поэтому кажется эффективным. Однако без устранения источника среда, которая позволила зубному абсцессу сформироваться, может остаться неизменной.

Существует также мнение, что небольшие абсцессы безвредны. Размер не всегда отражает активность. Даже небольшой зубной абсцесс может включать сложное бактериальное поведение под поверхностью.

Почему рецидив формирует историю зубного абсцесса

Рецидив является одной из главных причин, по которым тема зубного абсцесса вызывает так много вопросов. Когда симптомы возвращаются после спокойного периода, это ставит под сомнение идею окончательного решения. Такой цикл порождает разочарование и любопытство.

С точки зрения повествования рецидив превращает единичное событие в продолжающуюся историю. Люди начинают отслеживать закономерности, триггеры и ощущения. Зубной абсцесс становится чем то, что запоминается во времени, а не разовым эпизодом.

Этот повторяющийся характер также влияет на то, как люди говорят о состоянии. Его часто описывают по этапам, а не как процесс с четким началом и концом, что усиливает ощущение непредсказуемости.

Как восприятие влияет на понимание зубного абсцесса

Восприятие формирует память. Когда самая сильная боль утихает, именно облегчение доминирует в воспоминаниях. Более тихие биологические процессы, происходящие под поверхностью, менее заметны и поэтому хуже запоминаются.

Эта избирательная память объясняет, почему многие описания зубного абсцесса сосредоточены на боли, а не на причине. Разум отдает приоритет ощущениям, а не структуре. В результате понимание остается неполным, даже если опыт кажется ярким.

Язык также играет свою роль. Такие слова, как инфекция и абсцесс, создают ощущение временности. Такое восприятие влияет на то, как люди интерпретируют улучшение, даже когда сложность процесса сохраняется.

Долгосрочный взгляд на то, что значит, когда зубной абсцесс проходит

В более широком смысле вопрос о том, как проходит зубной абсцесс, на самом деле является вопросом о том, как организм устраняет дисбаланс. Это не всегда один момент исцеления, а постепенное изменение условий.

Некоторые абсцессы остаются стабильными в течение долгого времени. Другие меняются быстро. Такая изменчивость затрудняет универсальные ответы и подпитывает продолжающиеся обсуждения. История зубного абсцесса формируется биологией, восприятием и временем, работающими вместе.

Вместо четкой финишной точки переживание часто ощущается как серия глав. Эта многослойность объясняет, почему вопрос продолжает вызывать отклик. Зубной абсцесс является не просто инфекцией. Это процесс, который развивается, приостанавливается и иногда возвращается, оставляя людей в размышлениях о том, где он на самом деле заканчивается.

You May Also Like