Bir ölü diş, çoğu zaman ani ağrı olmadan sessizce ilerleyebilir ve birçok kişinin dişi kurtarmanın mümkün olup olmadığını merak etmesine neden olur. Bir dişin neden öldüğünü, belirtilerinin nasıl fark edileceğini ve korunma yöntemlerini anlamak, dişi kaybetmekten kaçınmak için kritik öneme sahiptir. Bu yazıda ölü dişler hakkında bilimsel bilgiler, olası müdahaleler ve önleyici stratejiler detaylı bir şekilde ele alınacaktır.

Ölü Diş Nedir?
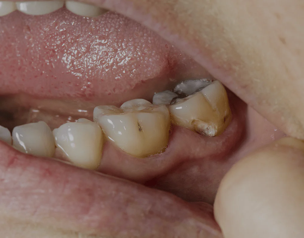
Ölü diş, diğer adıyla canlılığını yitirmiş diş, dişin en iç kısmında bulunan ve sinir ile damarları barındıran pulpanın artık canlılığını kaybetmesi durumudur. Pulpa, travma, tedavi edilmemiş çürükler veya uzun süreli enfeksiyonlar nedeniyle ölebilir. İlginç bir şekilde, bir diş yapısal olarak sağlam kalabilir ancak canlılığını yitirmiş olabilir, bu yüzden erken teşhis çok önemlidir.
Pulpanın ölmesi bir zincirleme reaksiyon başlatır. Kan akışı kesildiğinde diş besin alamaz ve kırılmalara veya bakteriyel enfeksiyonlara daha açık hale gelir. Endodontik araştırmalar, bazı semptomsuz dişlerin bile sessizce enfeksiyon barındırabileceğini göstermektedir.
Ölü Dişin Nedenleri
- Travma veya Yaralanma: Ani darbeler veya kazalar, dişi besleyen damarları kesebilir.
- Tedavi Edilmemiş Çürükler: Derin çürükler pulpaya ulaşarak geri dönüşü olmayan hasara yol açabilir.
- Şiddetli Diş Eti Hastalıkları: Periodontal enfeksiyonlar pulpaya uzanabilir ve nekroza sebep olabilir.
- Tekrarlayan Diş Tedavileri: Bir diş üzerinde yapılan birden fazla işlem pulpayı zorlayabilir ve ölüme yol açabilir.
Her neden farklı mekanizmalara sahip olsa da sonuç aynıdır: pulpa işlevini kaybeder ve diş canlılığını yitirir.
Ölü Dişin Belirtileri
Ölü diş, her zaman ağrıya neden olmayabilir; bu nedenle diş hekimi muayenesi olmadan tespit edilmesi zor olabilir. Ancak, ölü bir dişi işaret eden bazı yaygın belirtiler vardır:
- Çevresindeki dişlere göre koyulaşma
- Sıcak veya soğuğa duyarlılık
- Diş etlerinde şişlik
- Özellikle enfeksiyon gelişirse ara sıra zonklama
Bazı dişler yıllarca hiçbir belirti göstermeden kalabilir. Endodontik araştırmalar, sadece belirtilere dayanmanın yanıltıcı olabileceğini ve düzenli diş kontrollerinin önemini vurgulamaktadır.
Ölü Diş Kurtarılabilir mi?
Kısa cevap: bazen. Bir ölü dişi kurtarmak, pulpa hasarının derecesine ve enfeksiyon varlığına bağlıdır. Kanal tedavisi, ölü pulpayı temizlemek, kanalları dezenfekte etmek ve dişin fonksiyonunu geri kazandırmak için tasarlanmıştır.
Başarıyı etkileyen faktörler şunlardır:
- Müdahalenin zamanlaması
- Dişin konumu ve yapısı
- Bakteriyel enfeksiyonun yaygınlığı
Tablo: Ölü Diş için Müdahale Seçenekleri
| Tedavi Seçeneği | Açıklama | Başarı Oranı | İdeal Durum |
| Kanal Tedavisi | Ölü pulpayı çıkarıp kanalları kapatma | %85–95 | Canlılığını yitirmiş çoğu diş |
| Diş Kronu | Yapısal destek sağlar | %90 | Kanal tedavisi sonrası zayıflamış dişler |
| Çekim | Dişi tamamen çıkarma | N/A | Şiddetli hasarlı veya enfekte dişler |

Ölü Diş Oluşumunu Önleme Yöntemleri
Kazalar olabilir, ancak birkaç önlem ölü diş riskini azaltabilir:
- Düzenli Diş Kontrolleri: Çürük veya travmanın erken tespiti pulpa ölümü riskini azaltır.
- İyi Ağız Hijyeni: Fırçalama, diş ipi kullanımı ve florür uygulamaları bakteriyel tehditleri azaltır.
- Koruyucu Ekipman Kullanımı: Spor sırasında ağız koruyucuları travma riskini azaltır.
- Çürüklerin Zamanında Tedavisi: Pulpanın çürük tarafından etkilenmesini önler.
Bilimsel araştırmalar, önleyici bakım ve erken müdahalenin doğal dişleri koruma şansını dramatik şekilde artırdığını göstermektedir.
Beslenme ve Yaşam Tarzının Diş Canlılığına Etkisi
Beslenme, dişin canlılığını korumada beklenmedik bir rol oynar. Kalsiyum, D vitamini ve fosfat gibi besinler, diş minesinin yapısal bütünlüğünü destekler ve pulpayı bakteriyel saldırılardan dolaylı olarak korur. Şekerli gıdaların sınırlanması, pulpanın ölmesinin başlıca nedenlerinden biri olan çürük riskini azaltır. Araştırmalar, sigara ve alkol tüketiminin ağız dolaşımını olumsuz etkileyerek pulpa nekrozuna katkıda bulunabileceğini göstermektedir.
Ölü Diş Tehlikeli Hale Gelirse
Tedavi edilmezse, ölü diş bakterilere ev sahipliği yapabilir ve apselere veya sistemik sağlık sorunlarına yol açabilir. Kalıcı ağrı, şişlik ve kök bölgesinden akıntı aciliyet belirtisidir. Araştırmalar, küçük görünen ölü dişlerin bile vücutta inflamatuvar durumlara katkıda bulunabileceğini göstermektedir; bu nedenle düzenli takip ve zamanında müdahale önemlidir.
Ölü Dişi Kurtarmada Yenilikçi Yaklaşımlar
Endodontideki son gelişmeler, pulpayı yeniden canlandırmayı veya kaybolan dokuyu yerine koymayı amaçlayan rejeneratif prosedürleri içermektedir. Kök hücre ve biyolojik destek kullanımıyla yapılan teknikler, özellikle genç hastalarda pulpanın canlılığını geri kazandırmayı hedeflemektedir. Bu yöntemler henüz yaygın olmasa da, doğal dişlerin korunmasında umut vadeden bir geleceğe işaret etmektedir.
Bir ölü diş, her zaman kaybedilecek anlamına gelmez. Nedenleri bilmek, belirtileri tanımak ve zamanında müdahale etmek fark yaratabilir. Önleyici stratejiler, doğru hijyen ve yenilikçi tedavi seçenekleri, ağız sağlığını korumada ve doğal dişleri muhafaza etmede kritik rol oynar. Dişin yaşam döngüsünü anlamak canlılıktan potansiyel nekroza hastaların bilinçli karar almasını sağlar ve diş bakımıyla daha proaktif bir ilişki kurmasına yardımcı olur.