Livera Clinic’te sıkça karşılaştığımız sorulardan biri, diş törpüleme yani dental şekillendirme işleminin ne olduğudur. Bu kozmetik diş prosedürü, dişlerin şekil, uzunluk veya yüzeyini hafifçe düzelterek estetik görünümü iyileştirmeyi amaçlar. Diş törpüleme sadece estetik için değil, aynı zamanda düzensiz diş aşınması veya komşu dişlerde stres oluşturabilecek küçük kusurları gidermeye yardımcı olarak ağız sağlığını da destekler. Daha uyumlu bir gülüş isteyen herkes için, diş törpülemenin nasıl yapıldığını, kimler için uygun olduğunu ve sürecin detaylarını anlamak önemlidir.

Diş Törpüleme: Tanım ve Temel Kavramlar
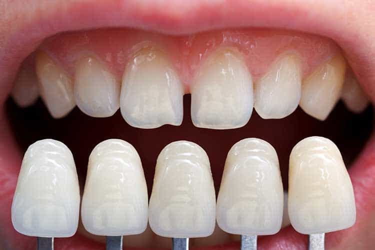
Diş törpüleme, özel diş araçları kullanılarak dişlerin dikkatlice şekillendirilmesini içerir. Genellikle hafif düzeltmeler üzerine odaklanır; keskin kenarları düzeltmek, küçük çapraz dişleri hizalamak veya hafif uzun dişleri kısaltmak gibi. Diş törpüleme, estetik bir işlem olarak kabul edilse de dengeli bir çiğneme oluşturmak ve plak birikimini azaltmak gibi fonksiyonel faydalar da sağlar.
Klinik olarak, diş törpüleme sırasında dişin koruyucu dış tabakası olan mine minimal miktarda alınır. Mine oldukça dayanıklı olsa da kendini yenilemez, bu nedenle diş hekimleri büyük hassasiyetle çalışır. Journal of Cosmetic Dentistry’de yayımlanan araştırmalar, çoğu hastanın küçük mine düzeltmelerini iyi tolere ettiğini ve sonuçların uygun ağız hijyeni ile uzun süre kalıcı olduğunu göstermektedir.
Diş Törpüleme İçin İdeal Adaylar Kimlerdir?
Her hasta için diş törpüleme gerekli değildir, ancak bazı bireyler için büyük fayda sağlayabilir. Küçük diş kenarı düzensizlikleri, küçük kırıklar veya hafif çapraz dişler gibi küçük estetik kusurlara sahip olanlar, işlemden sonra belirgin iyileşme görebilir. Ayrıca keskin diş kenarlarından rahatsızlık duyan veya hafif çarpışma yaşayan kişiler için de uygundur.
Adayların sağlıklı diş ve diş etlerine sahip olmaları gerekir; ciddi çürükler veya periodontal hastalık mevcut olmamalıdır. Diş hekimi genellikle röntgen ve muayene ile prosedürün güvenli ve uygun olduğunu değerlendirir. Örneğin, aşırı mine kaybı veya ciddi çaprazlık durumunda, daha uygun alternatifler arasında kaplamalar veya ortodontik tedaviler bulunabilir.
Diş Törpüleme Süreci: Adım Adım
Diş törpüleme işlemi genellikle hızlıdır ve tek bir ziyaretle tamamlanabilir. Önce kapsamlı bir değerlendirme yapılır ve şekillendirilecek bölgeler işaretlenir. İnce aletlerle mine yüzeyinden çok az bir miktar alınır ve ardından dişler parlatılır, böylece doğal ışık yansıması sağlanır.
Bu işlemin avantajlarından biri minimal invaziv olmasıdır. Kaplama veya veneer işlemlerinin aksine genellikle anestezi gerekmez ve hasta hemen normal aktivitelere dönebilir. Klinik raporlar, hastaların birkaç gün içinde estetik görünüm ve özgüven açısından belirgin fayda gördüğünü göstermektedir.
Diş Törpülemenin Estetik ve Fonksiyonel Faydaları
Birçok kişi diş törpülemeyi estetik nedenlerle tercih etse de fonksiyonel avantajları da vardır:
- Çiğneme Dengesinin İyileştirilmesi: Hafif şekillendirme, aşırı baskıyı azaltır ve düzensiz aşınmayı önler.
- Ağız Hijyeninin Kolaylaşması: Daha pürüzsüz diş yüzeyleri temizlenmesi kolaydır ve plak birikimini azaltır.
- Diş Hassasiyetinin Azalması: Keskin kenarlar veya küçük kırıklar düzeltilerek yumuşak dokuların tahrişi önlenir.
International Journal of Dental Science’de yayınlanan araştırmalar, diş törpüleme işlemi gören hastaların hem estetik hem de fonksiyonel açıdan belirgin iyileşme yaşadığını göstermektedir. Bu avantajlar, diş törpülemeyi küçük ama etkili bir seçenek haline getirir.
Diş Törpüleme ve Diğer Kozmetik Diş İşlemleri ile Karşılaştırma
Diş törpüleme, benzer işlemlerden farklı olarak:
- Veneerler: Diş yüzeyini tamamen kaplar, dramatik bir dönüşüm sağlar, ancak daha invazivdir.
- Bonding (Kompozit Dolgu): Daha büyük kusurlar için reçine uygulanır.
- Ortodonti: Çaprazlıkları uzun süreli düzeltir; bazen bitirme aşamasında törpüleme yapılabilir.
Diğer prosedürlerin aksine diş törpüleme, hızlı, ekonomik ve minimal riskli bir çözüm sunar.
Diş Törpülemede Riskler ve Dikkat Edilmesi Gerekenler
Diş törpüleme genel olarak güvenli bir işlem olsa da, hastaların olası riskleri bilmesi önemlidir. Aşırı mine alma, sıcak veya soğuk yiyeceklerde hassasiyete yol açabilir. Livera Clinic’teki diş hekimleri, optimal sonuç elde etmek için mümkün olduğunca az mine alınmasına dikkat eder.
Ayrıca mevcut diş sağlığı da önemlidir. Mine zayıfsa, çürük veya diş eti hastalığı varsa, işlemden önce tedavi gerekebilir. Dijital görüntüleme veya kapsamlı muayene ile güvenli bir uygulama planlanır. Bu faktörler göz önünde bulundurulduğunda, diş törpüleme düşük riskli ve etkili bir kozmetik seçenek olarak kalır.

Diş Törpüleme Sonrası Bakım ve Sürdürülebilirlik
İşlem sonrası bakım oldukça basittir ancak önemlidir. Hastalara, yumuşak kıllı diş fırçası ile günde iki kez fırçalama ve günde bir kez diş ipi kullanma önerilir. İşlemden sonraki günlerde aşırı sert gıdalar tüketmemek, diş kırılmalarını önler.
Polisaj sayesinde diş yüzeyi pürüzsüz kalır, plak ve lekelenme azalır. Altı ayda bir yapılan rutin kontroller, şekillendirilen dişlerin durumunu izler ve gerekirse küçük dokunuşlar yapılabilir. Düzenli bakım ile diş törpüleme uzun süre kalıcı estetik ve fonksiyonel faydalar sağlar.
Diş Törpülemenin Dayanıklılığı ve Sıklığı
Diş törpülemenin en büyük avantajlarından biri uzun ömürlü olmasıdır. Çok az mine alındığı için sonuçlar yıllarca korunabilir. Ancak diş gıcırdatma, asidik diyet gibi yaşam tarzı faktörleri uzun vadeyi etkileyebilir.
Bazı hastalar, daha parlak ve bütünsel bir gülüş için törpülemeyi beyazlatma veya diğer kozmetik işlemlerle birleştirebilir. Tekrar törpüleme nadiren yapılır ve genellikle küçük dokunuşlarla sınırlıdır; bu sayede diş bütünlüğü korunur.
Bilimsel Bulgular ve Araştırmalar
Araştırmalar, diş törpülemenin hem estetik hem de fonksiyonel bir işlem olarak etkili olduğunu destekler. Küçük düzensizliklerin giderilmesi, gülüş estetiğini artırmakla kalmaz, aynı zamanda çiğneme dengesi sağlar ve mine aşınmasını azaltır. Journal of Esthetic Dentistry’deki klinik çalışmalar, hastaların %85’inden fazlasının estetik görünüm ve ağız konforunda hemen iyileşme gördüğünü göstermektedir.
Veneer veya bonding gibi diğer kozmetik işlemlerle karşılaştırıldığında, diş törpüleme minimal invaziv ve maliyet açısından daha uygun bir seçenek olarak öne çıkar.
Diş Törpülemenin Psikolojik ve Sosyal Etkisi
Görsel olarak çekici bir gülüş, özgüven ve sosyal ilişkiler üzerinde güçlü bir etki yaratır. Küçük kusurlar nedeniyle gülümsemekten çekinen kişiler, diş törpüleme ile kendilerini daha rahat hissedebilirler.
Livera Clinic’teki hastalar, işlemin ardından sosyal ve profesyonel ortamda daha rahat hissettiklerini belirtir. Bu prosedürün hemen gözle görülen etkisi, küçük diş düzeltmelerinin bile psikolojik fayda sağlayabileceğini kanıtlar.
Diş Törpüleme Sizin İçin Uygun mu?
Diş törpüleme, dişlerin estetiğini ve fonksiyonunu geliştirmek isteyenler için güvenli ve etkili bir yöntemdir. Küçük düzensizlikleri olan, sağlıklı mineye sahip ve gerçekçi beklentileri olan kişiler için idealdir. İşlem, estetik, fonksiyonel ve psikolojik faydalar sağlar; düzenli bakım ile uzun ömürlü sonuçlar elde edilir.
Profesyonel bir danışma ile Livera Clinic, kişiye özel bir tedavi planı sunar. Riskler, bakım ve mevcut diş durumu göz önünde bulundurularak, hastalar estetik ve uyumlu bir gülüşe kavuşabilir.
Kozmetik Diş İşlemleri
| İşlem | İnvazivlik | Dayanıklılık | Maliyet | İyileşme Süresi |
| Diş Törpüleme | Minimal | Yıllarca | Düşük | Hemen |
| Veneerler | Yüksek | 10-15 yıl | Yüksek | Birkaç gün |
| Bonding (Kompozit) | Orta | 5-10 yıl | Orta | 1-2 gün |
| Ortodonti | Yüksek | Uzun süre | Yüksek | Aylar/Yıllar |