Ağız sağlığı, günlük alışkanlıklar, profesyonel bakım ve koruyucu diş hekimliği ile doğrudan ilişkilidir. Modern diş hijyeninde en sık konuşulan uygulamalardan biri olan Diş Taşı Temizleme, diş yüzeyinde sertleşmiş plak birikimlerini ortadan kaldırmak için yapılan klinik bir işlemdir. Her ne kadar fırçalama ve diş ipi kullanımı plak oluşumunu azaltmaya yardımcı olsa da, mineralize olmuş plak yani diş taşı çoğu zaman profesyonel Diş Taşı Temizleme işlemi gerektirir.
Livera Clinic’te uzmanlar sıklıkla Diş Taşı Temizleme işleminin yalnızca estetik bir temizlik olmadığını vurgular. Bu uygulama genellikle diş eti sağlığını korumak, genel ağız hijyenini desteklemek ve bakteri birikimine bağlı gelişebilecek komplikasyonları önlemek amacıyla yapılır. Diş Taşı Temizleme sürecinin nasıl gerçekleştiğini, işlem aşamalarını ve maliyet faktörlerini anlamak, hastaların diş bakımına daha bilinçli yaklaşmasına yardımcı olabilir.

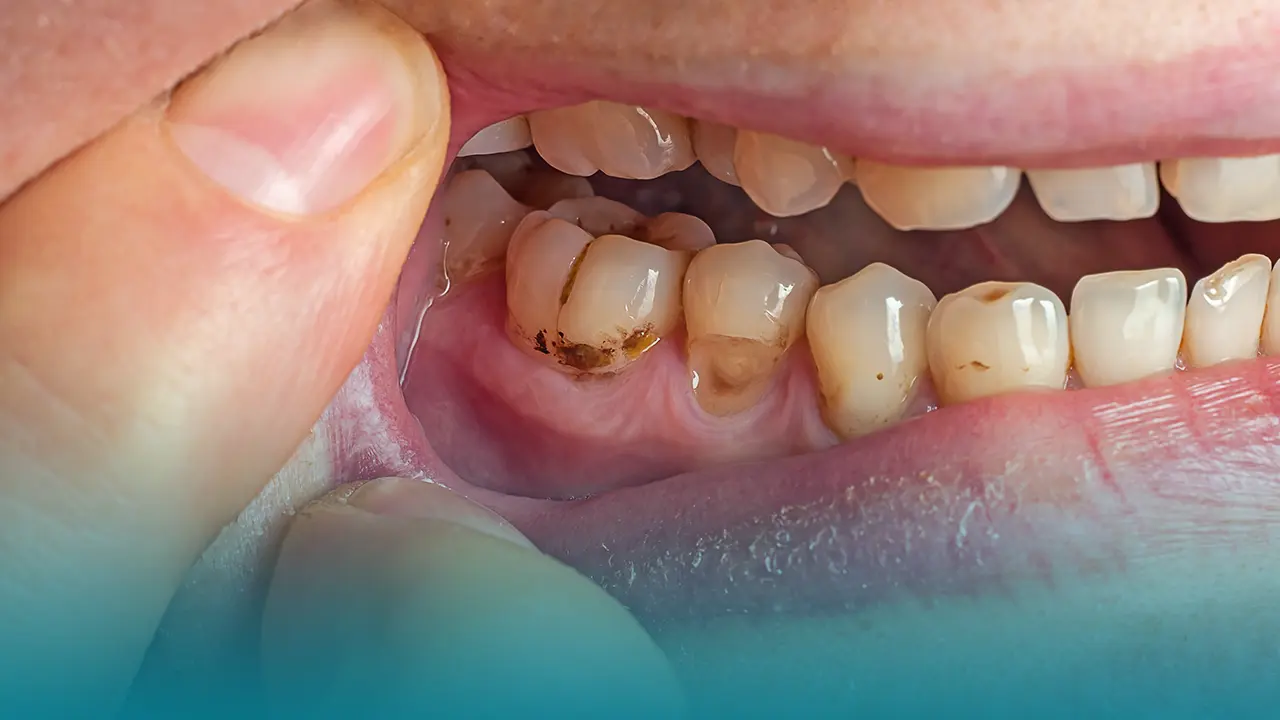
Diş Taşı Nedir ve Diş Taşı Temizleme Neden Gerekir?
Diş taşı, plak birikiminin zamanla tükürük mineralleri ile sertleşmesi sonucu oluşan kalkulus yapıdır. Normal fırçalama hareketleri sertleşmiş diş taşını ortadan kaldıramaz. Bu nedenle Diş Taşı Temizleme profesyonel diş bakımının temel adımlarından biri olarak kabul edilir.
Plak, bakteri, gıda artıkları ve proteinlerden oluşan yapışkan bir tabakadır. Eğer uzun süre temizlenmezse tükürük içindeki mineral bileşenlerle birleşerek sertleşir. Bu sert yapı diş yüzeyine güçlü şekilde tutunur ve diş eti hattının altına kadar ilerleyebilir. Bu noktada Diş Taşı Temizleme işlemi devreye girer.
Profesyonel Diş Taşı Temizleme yapılmadığında bakteriler için uygun bir yaşam alanı oluşabilir. Zamanla bu ortam, diş eti dokusunu etkileyebilecek inflamatuar süreçleri tetikleyebilir. Bu nedenle işlemin temel amacı yalnızca dişleri temizlemek değil, aynı zamanda bakteri kolonilerini kontrol altına almaktır.
Bir diğer önemli nokta ise erişilebilirlik meselesidir. Diş taşları çoğu zaman diş fırçası kıllarının ulaşamadığı bölgelerde birikir. Profesyonel temizlik sırasında kullanılan özel aletler sayesinde bu alanlara kontrollü şekilde müdahale edilir.
Diş Taşı Nasıl Oluşur?
Diş taşının nasıl oluştuğunu anlamak, Diş Taşı Temizleme ihtiyacını da açıklar. Süreç plak oluşumu ile başlar ve genellikle fırçalamadan birkaç saat sonra bile plak tabakası gelişebilir.
Plak tabakası yumuşak ve yapışkan bir yapıdadır. Eğer düzenli olarak uzaklaştırılmazsa tükürük mineralleri plak tabakasına entegre olur ve sertleşme süreci başlar.
Sertleşmiş diş taşı, yeni plak oluşumunu kolaylaştıran pürüzlü bir yüzey oluşturur. Bu döngü, Diş Taşı Temizleme işleminin belirli aralıklarla tekrarlanmasını gerektirebilir. Mükemmel ağız hijyenine sahip bireylerde bile profesyonel temizlik gerekebilir.
Tartar oluşum hızı bireysel farklılıklar gösterebilir. Tükürük bileşimi, beslenme alışkanlıkları ve genetik faktörler bu süreci etkileyebilir.
Diş hekimleri genellikle alt ön dişler ve üst azı dişlerinde diş taşı oluşumunun daha sık görüldüğünü belirtir. Bu bölgeler temizlik sırasında özellikle kontrol edilir.
Diş Taşı Temizleme İşlemi Adım Adım Nasıl Yapılır?
Diş Taşı Temizleme genellikle profesyonel diş temizlik randevusu sırasında gerçekleştirilir. Kliniklere ve hastanın diş durumuna göre süreç farklılık gösterebilir.
1. İlk Ağız Muayenesi
Temizlik işlemine başlamadan önce diş hekimi ağız içini özel aynalar ve tanısal araçlarla değerlendirir. Bu aşama diş taşı yoğunluğunun en fazla olduğu bölgeleri belirlemek için önemlidir.
2. Ölçekleme (Scaling) Aşaması
Ölçekleme, Diş Taşı Temizleme işleminin temel adımıdır. Bu aşamada özel scaler aletleri kullanılarak sertleşmiş birikimler diş yüzeyinden uzaklaştırılır.
Ölçekleme işlemi manuel veya ultrasonik cihazlarla yapılabilir. Her iki teknik de diş minesine zarar vermeden temizlik sağlamayı amaçlar.
3. Diş Eti Altı Temizlik
Diş taşı diş eti altına ilerlemişse daha derin temizlik gerekebilir. Bu süreç bakterilerin diş eti hattı altında birikmesini önlemeyi hedefler.
4. Diş Parlatma
Diş Taşı Temizleme sonrasında diş yüzeyi parlatılır. Bu aşama, mikroskobik pürüzleri azaltarak yeni plak tutunmasını zorlaştırır.
5. Durulama ve Final Kontrol
İşlem genellikle ağızın detaylı şekilde temizlenmesi ve son kontrol ile tamamlanır.

Diş Taşı Temizleme Teknikleri Nelerdir?
Modern diş hekimliğinde Diş Taşı Temizleme için farklı teknolojiler kullanılmaktadır.
Ultrasonik Temizlik
Ultrasonik cihazlar yüksek frekans titreşimleri ile diş taşını parçalar. Aynı zamanda su püskürterek işlem sırasında oluşan kalıntıları uzaklaştırır.
Titreşim mekanizması sert birikimleri gevşetmeye yardımcı olur ve manuel kazıma ihtiyacını azaltabilir.
Manuel Temizlik Aletleri
Geleneksel scaler aletleri dar alanlara ulaşabilen ince ve kavisli yapıya sahiptir. Manuel Diş Taşı Temizleme işlemi basıncı ve açıyı kontrol etmeye olanak tanır.
Bu araçlar özellikle diş arası bölgelerde etkili sonuçlar sağlayabilir.
Hava ile Parlatma Sistemleri
Bazı kliniklerde temizlik sonrası hava parlatma yöntemi uygulanır. Bu yöntem su, hava ve ince toz partikülleri püskürterek yüzey temizliğini destekler.
Hava parlatma tek başına Diş Taşı Temizleme yerine geçmez ancak yüzey düzgünlüğünü artırabilir.
Diş Taşı Temizleme Maliyetini Etkileyen Faktörler
Diş Taşı Temizleme fiyatları ülke, klinik ve tedavi planına göre değişiklik gösterebilir.
| Faktör | Açıklama |
| Diş taşı yoğunluğu | Yoğun birikim daha uzun temizlik süresi gerektirebilir |
| Coğrafi konum | Klinik fiyatları bölgesel olarak değişebilir |
| Teknolojik ekipman | Gelişmiş cihaz kullanımı maliyeti etkileyebilir |
| Ek işlemler | Parlatma veya flor uygulaması eklenebilir |
| Uzman deneyimi | Hekim uzmanlığı fiyat üzerinde rol oynayabilir |
Bazı durumlarda diş eti altı derin temizlik işlemleri de gerekebilir ve bu durum toplam maliyeti değiştirebilir.
Düzenli Diş Taşı Temizlemenin Faydaları
Periyodik Diş Taşı Temizleme işlemi ağız hijyen stratejilerinin önemli bir parçasıdır.
Diş taşı temizleme sayesinde bakteri rezervuarları ortadan kaldırılabilir. Bu durum daha sağlıklı bir oral ortam oluşmasına yardımcı olabilir.
Temizlik sonrası diş yüzeyi daha pürüzsüz hale gelir ve plak tutunması zorlaşabilir.
Bazı kişilerde diş taşı temizleme sonrası estetik görünüm de iyileşir çünkü diş taşı sarı veya kahverengi renklenmelere neden olabilir.
Diş Taşı Temizleme Ne Sıklıkla Yapılmalı?
Diş Taşı Temizleme sıklığı ağız bakım alışkanlıklarına ve biyolojik faktörlere bağlıdır.
Genellikle yılda bir veya iki kez profesyonel temizlik önerilebilir. Ancak diş taşı hızlı oluşan kişilerde daha sık uygulama gerekebilir.
Ortodontik aparey kullanan bireylerde diş taşı birikimi daha hızlı olabilir. Bu durumda daha kısa aralıklarla temizlik planlanabilir.
Yaşam tarzı, beslenme düzeni ve tükürük yapısı da süreci etkileyen faktörler arasındadır.
Profesyonel Diş Taşı Temizleme modern diş hekimliğinde koruyucu bakımın önemli bir parçasıdır. Evde yapılan fırçalama işleminin ulaşamadığı sertleşmiş plak birikimlerinin uzaklaştırılmasını sağlar.
Genellikle ölçekleme, parlatma ve klinik değerlendirme aşamalarını içerir. Her bireyin diş yapısı farklı olduğundan işlem detayları değişebilir.
Livera Clinic gibi sağlık merkezleri, hastaların Diş Taşı Temizleme sürecini ve önemini daha iyi anlaması için eğitim ve bilgilendirme yaklaşımını benimsemektedir.
Teknolojik gelişmeler sayesinde Diş Taşı Temizleme günümüzde daha konforlu ve etkili şekilde uygulanmaktadır.