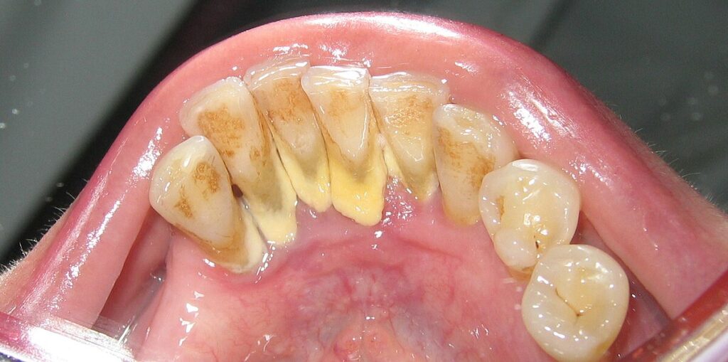
Tartar temizliği, insanların ağız çevrelerine aniden yeni bir farkındalıkla baktıkları bir an haline gelir. Birçok kişi bu aşamayı, ağzın daha açık, daha pürüzsüz veya biraz yabancı hissettirdiği kısa bir geçiş olarak tanımlar. Kalsifiye diş birikintilerini inceleyen araştırmacılar, tartarın yokluğunun yumuşak dokuların ve minenin çevreleriyle etkileşimini anlık olarak değiştirebileceğini belirtiyor. Bu sürecin nasıl geliştiğini anlamak, ağız dokuları kişiden kişiye büyük ölçüde değiştiğinden, doğal sürecin bir parçasıdır. Bu çeşitlilik, ağzın iç ortamının uyum yeteneğini vurguladığı için bilimsel olarak büyüleyicidir.
Günümüz ağız araştırmalarında, tartar gibi sertleşmiş plakların temizlenmesi, mineral birikimi ortadan kalktıktan sonra insanların dişlerini nasıl deneyimlediklerini ortaya koymaktadır. Bazı kişiler pürüzsüz yüzeylerin daha fazla farkına varırken, bazıları yeni dokuya hemen uyum sağlar. Bu çeşitlilik, bilim insanlarının ağız dokularının günlük uyaranlara nasıl tepki verdiğini ve ince yapısal değişikliklerin algıyı nasıl etkileyebileceğini daha iyi anlamalarına yardımcı olur.

Tartar temizliğinden sonra ortaya çıkan duyusal değişim
Tartar temizlendiğinde, yeni açığa çıkan mine yüzeyi beklenmedik şekilde pürüzsüz hissedilebilir ve bu durum insanların fark ettiği ilk değişikliklerden biridir. Bu his genellikle geçicidir. Araştırmalar, bu değişimin ağız dokularının doğal dengesini yeniden kurmasıyla ilişkili olduğunu öne sürer. Bu süreçte bazı kişiler ısı farklarına karşı daha hassas hale gelirken bazıları yalnızca dilinin altındaki mine yüzeyinin daha farkında olur. Bilimsel açıdan bakıldığında bu durum, uzun süredir var olan mineral tabakasının ortadan kalkmasının ardından gerçekleşen geçici bir uyum süreci olarak görülür.
Diş araştırmacıları ilginç bir davranış modeline de dikkat çeker: insanlar tartar temizliğinden sonra dişlerini dilleriyle inceleme eğilimindedir. İnsan zihni dokusal değişikliklere son derece duyarlıdır ve bu nedenle bu tepki hem yaygındır hem de kısa sürelidir. Hassasiyet derecesi bireyler arasında değişir ve kişiye özgü biyolojik faktörlere bağlıdır. Sonuç olarak bu dönem, ağız içi reseptörlerin yeni yüzey koşullarına verdiği kısa bir uyum aşamasıdır.
Tartarın temizlenmesinin ardından yumuşak dokuların tepkisi
Tartarın temizlenmesi, yüzey dokusu değiştiği için diş eti hattının daha belirgin hissedilmesine neden olabilir. Bilimsel olarak ifade etmek gerekirse bu değişim, yumuşak dokuların yeni açığa çıkan diş yüzeyine uyum sağlamasıyla açıklanır. Bazı insanlar diş eti hatlarının şeklini daha belirgin algıladıklarını belirtir. Bu durum, ağız içi yapısındaki değişimin doğal bir sonucudur. Araştırmacılar bu deneyimi, dokuların çevresel değişimlere uyum sağlarken ortaya çıkan geçici bir süreç olarak ele alır.
Ayrıca tartarın belirli bölgeleri maskelemediği durumlarda diş etleri daha görünür veya belirgin hale gelebilir ve bu görsel açıklık ağız algısını etkileyebilir. Çalışmalar, bu farkındalığın dokuların yeni yapısal düzene geçişini yansıttığını vurgular. Bu uyum süresinin uzunluğu bireyler arasında değişiklik gösterir ancak uzmanlar genel olarak bunun beklenen ve normal bir adaptasyon aşaması olduğunu belirtir.
Tartar temizliğinden sonra mikro yapısal yorumlar
Tartar diş yüzeyinden uzaklaştırıldığında alttaki mine tekrar doğrudan çevresiyle temas eder. Bu durum, daha önce kireçlenmiş tabakanın koruması altında bulunan mikro yapıların tükürük ve sıcaklık değişimleriyle yeniden etkileşime girmesine yol açar. Bazı insanlar bu değişimi hafif bir ferahlık olarak tanımlar, bazıları ise ağız içi düzenin daha net algılandığını belirtir. Bilim insanları bu tepkileri, diş yüzeylerinin birikintilerden arındıktan sonra çevreleriyle yeniden bütünleşmesinin doğal bir adımı olarak yorumlar.
Biyolojik açıdan bakıldığında bu maruziyet, daha önce gizlenmiş mine prizmalarının ve alt yüzey minerallerinin karmaşık düzenini ortaya çıkarır. Bu yapılar çıplak gözle görülmese de sıcaklık ve dokuyla etkileşimleri hissedilebilir. Bu dönem kısa olsa da tartardan arındırılmış dişlerin nasıl davrandığına dair ilginç bir pencere sunar.
Davranışsal farkındalık ve günlük alışkanlıklardaki küçük değişiklikler
Tartarın yokluğu, günlük davranışlarda ince değişimlere yol açabilir. Bazı insanlar özellikle yeni açığa çıkmış mine dokusunun pürüzsüzlüğünü keşfederken çiğneme düzenlerini farkında olmadan değiştirebilir. Bu uyum, araştırmacıların özellikle ilgi çekici bulduğu daha geniş bir davranışsal tepkinin parçasıdır. İnsanlar duyusal farklılıklara doğal olarak tepki verir ve ağızdaki küçük değişiklikler bile rutin hareketleri etkileyebilir.
Bir diğer dikkate değer gözlem ise bireylerin fırçalama ritimlerini veya basınçlarını geçici olarak yeniden düşünmesidir. Bu genellikle rahatsızlıktan değil, fırça kıllarının altındaki yüzeye yönelik artan farkındalıktan kaynaklanır. Davranış bilimciler, bu süreci bazen “ağız içi yeniden kalibrasyon” olarak adlandırır. Bu aşama, kişilerin hareketlerini yeni temizlik sonrası ortamla uyumlu hale getirme çabasıdır.
Tartarın temizlenmesinden sonra tükürüğün rolü
Tükürük, tartar temizliğinin ardından ağız ortamını dengelemede önemli bir rol oynar. Pürüzlü mineral birikintileri ortadan kalktığında, tükürük diş yüzeylerinde daha eşit bir şekilde yayılabilir ve daha dengeli bir nem dağılımı oluşturur. Bazı kişiler bu değişimi pürüzsüzlük veya daha homojen bir his olarak algılar ancak çoğu zaman bunun tükürükten kaynaklandığını fark etmezler.
Ağız sıvısı dinamiklerini inceleyen araştırmacılar, bu dengenin ısı değişimlerini ve duyusal tepkileri düzenlemeye yardımcı olduğunu belirtir. Bu durum, tükürüğün mineyle, sertleşmiş plakla olduğundan daha farklı bir etkileşim kurması nedeniyle geçici bir uyum hissi yaratabilir. Tükürük bileşimindeki bireysel farklılıklar da bu sürecin nasıl algılandığını etkiler ve deneyime biyolojik bir çeşitlilik ekler.
Diş yüzeylerine yönelik görsel algı ve yeni farkındalık
Pek çok kişi tartar temizliğinden sonra dişlerini daha dikkatli gözlemlediğini ifade eder. Bu görsel ilgi yalnızca estetik bir merak değildir. Ağız içinde meydana gelen yapısal değişimlerin ardından ortaya çıkan kişisel algı değişimiyle ilişkilidir. Yüzeyler daha parlak veya daha temiz göründüğünde, bireyler ağız durumlarıyla daha bağlantılı hissedebilir ve bu durum kısa bir farkındalık penceresi yaratır.
Bilim insanları bu olguyu bilişsel ağız haritalaması olarak açıklar. Beyin yeni görsel veya dokunsal bilgiler aldığında ağız içinin içsel temsilini günceller. Bu zihinsel uyum, bireylerin küçük detayları diş eti konturları ya da yeni görünür hale gelen boşluklar gibi daha dikkatli fark etmelerini açıklar. Deneyim oldukça bireyseldir ve insan algısının çeşitliliğini yansıtır.
Isısal hassasiyet ve mine maruziyeti
Tartarın uzaklaştırılması dişlerin sıcaklık değişimlerine tepkisini geçici olarak değiştirebilir. Bu değişim, mine yüzeyinin artık dış uyaranları zayıflatan kireçlenmiş tabaka olmadan maruz kalmasından kaynaklanır. Bazı kişiler için soğuk içecekler geçici olarak daha keskin hissedilebilir, diğerleri ise hiçbir değişiklik hissetmeyebilir. Bilim insanları bu farklılıkları mine kalınlığı, sinir yolları ve diş yüzey yapısının karmaşık ilişkisiyle açıklar.
Sıcaklık farklılıkları, ağız dokularının yeni koşullara ne kadar hızlı uyum sağladığını da gösterebilir. Dokular yeniden kalibre olduktan sonra, çoğu kişi normal hassasiyet seviyelerine döner. Bu esneklik, minenin çevresel değişimlerden sonra işlevsel istikrarı sürdürebilme kapasitesini gösterir.
Temizlik sonrası algının psikolojik yönü
Biyolojik tepkilerin ötesinde psikolojik bir boyut da vardır. Pek çok kişi tartar temizliğinden sonra hafif bir yenilenme hissi tarif eder. Bu algı yalnızca duygusal değildir. Bilişsel çalışmalar, insanların pürüzsüzlük ve açıklığı temizlikle ilişkilendirme eğiliminde olduğunu ve bunun kısa, fark edilir bir ağız farkındalığı artışına yol açtığını öne sürer. Bazıları için bu durum ağızlarının nasıl çalıştığına ve farklı koşullara nasıl tepki verdiğine dair merak uyandırabilir.
Ağız algısını inceleyen araştırmacılar, bu içsel değişimin takip eden günlerde bireylerin küçük duyusal sinyalleri nasıl yorumladığını şekillendirebileceğini belirtir. Bu farkındalık çoğu zaman beyin yeni duruma alıştıkça azalır. Ancak o kısa zaman diliminde insanlar ağızlarının ne kadar dinamik bir ortam olduğunu özel bir netlikle deneyimler.
Uzun vadeli yüzey davranışı ve minenin yeniden uyumu
Tartar temizliğinden sonraki günlerde dişler ağız ortamında yeni bir ritme girer. Artık mineral birikintileriyle kaplı olmayan mine, tükürük, besin dokuları ve küçük sıcaklık değişimleriyle daha doğrudan etkileşir. Bilim insanları bunu, minenin tekrar kendi dengesini kurduğu bir yeniden uyum süreci olarak tanımlar.
Bu aşamayı ilginç kılan şey, deneyimlerin oldukça farklı olabilmesidir. Bazı kişiler dişlerinin daha hafif veya daha pürüzsüz hissettirdiğini söylerken bazıları belirgin bir fark hissetmez. Bu farklılıklar mine mikro yapısının karmaşıklığını ve bireyler arasında farklı tepkiler verebilme kapasitesini yansıtır. Bu tepkiler hafif olsa da, ağız dokularının dikkate değer uyum yeteneğine dair önemli ipuçları sunar.
Tartar temizliğinden sonra mikrobiyal yeniden dağılım
Tartarın ortadan kalkması, mikrobiyal popülasyonun diş yüzeyinde nasıl organize olduğunu değiştirir. Kalsifiye birikintiler, mikroorganizmaların kümelenebileceği pürüzlü bölgeler oluştururdu. Bu yüzeyler temizlendiğinde ağız ortamı sessiz bir yeniden düzenlenme sürecine girer. Mikrobiyal ekolojiyi inceleyen araştırmacılar, bakteri topluluklarının optimum nem, besin ve doku koşullarını yeniden aradığını belirtir.
Bu yeniden dağılım evresi doğrudan hissedilmez, ancak etkisi büyüktür. Daha pürüzsüz mine yüzeyi, eskiden var olan gözenekli birikintilere kıyasla farklı bir habitat sunar. Bu durum, mikrobiyal kümelerin yeni yapısal düzenlemeye göre konum değiştirdiği geçici bir döneme yol açar. Bu görünmez değişimin gözlemlenmesi, canlı sistemlerin çevresel değişikliklere nasıl uyum sağladığına dair değerli bilgiler sunar.
Duyusal yeniden ayarlama ve değişen ağız algısı
Tartar temizlendikten sonra, dişlerin etrafındaki duyusal sinirler uyaranları bir süreliğine farklı yorumlayabilir. Bu durum genellikle rahatsızlık değil, beynin ağız içi topografisini yeniden değerlendirme çabası olarak görülür. Hafif sıcaklık değişimleri, hava akımı ya da dilin daha pürüzsüz yüzeylere temas etmesi gibi unsurlar yeni duyusal veriler oluşturur.
Bu dönemde bazı kişiler ağızlarının daha açık ya da daha geniş hissettirdiğini fark eder. Bu, yüzey dokularındaki değişikliklerin bilinen bir psikolojik yansımasıdır. Beyin yeni ortamı işlerken duyusal haritalarını günceller ve algıyı yeni fiziksel gerçeklikle uyumlu hale getirir. Bu yeniden ayarlama süreci kısa sürer ancak sinir yolları ile ağız yapıları arasındaki uyumun ne kadar etkileyici olduğunu ortaya koyar.
Yeni ortaya çıkan mine ile çevresel etkileşim
Tartar temizliğinden sonra mine, daha geniş bir çevresel etki yelpazesiyle karşılaşır. Sıcaklık, hidrasyon, diyetin içeriği, pH değişimleri ve hatta hava akımı bile daha önce kapalı kalan yüzeylerle etkileşime girebilir. Çevresel stres faktörlerini inceleyen bilim insanları, minenin bu dalgalanmaları tolere edecek şekilde tasarlandığını ve ağız içinde sürekli gerçekleşen doğal mineral değişim süreçleriyle uyum sağladığını belirtir.
Bu etkileşim, kişilerin gün içindeki diş algısını da etkileyebilir. Kimileri farklı dokulara sahip yiyecekler tüketirken hafif değişiklikler hissedebilir, kimileri ise sıcak ya da soğuk havaya ağızlarının nasıl tepki verdiğini daha net fark edebilir. Bu evre, ağız yapıları ile onları çevreleyen ortam arasındaki dinamik ilişkiyi ortaya koyar.

Tartar temizliği sonrası ağız içi netliğine ilişkin bilişsel yansımalar
Pek çok kişi, tartarın temizlenmesinin ağız sağlıklarına dair yeni bir netlik hissi yarattığını ifade eder. Bu algı, klinik bilgiye değil duyum ile algı arasındaki psikolojik bağa dayanır. Yüzeyler daha pürüzsüz hissedildiğinde beyin bunu bir tür iyileşme olarak yorumlayabilir, değişim çok küçük olsa bile.
Bilişsel araştırmacılar, bu anın günlük alışkanlıkları sessiz ama ölçülebilir biçimde etkileyebileceğini öne sürer. Kişiler yiyeceklerin dokularına ya da dillerinin diş üzerinde nasıl hareket ettiğine daha çok dikkat edebilir. Bu kısa süreli düşünsel deneyim, ağız duyumlarının benlik algısı ve farkındalıkla ne kadar yakından ilişkili olduğunu gösterir.
Uyumsal denge ve uzun vadeli ağız içi düzeni
Zaman içinde dişler tartar temizliği sonrası daha stabil bir düzene oturur. Ağız, karmaşık bir uyum sistemi olarak yavaşça yeni bir dengeye ulaşır. Tükürük mineyle tutarlı şekilde etkileşime girer, mikrobiyal topluluklar yeni düzenlerine göre şekillenir ve duyusal yollar tepkilerini incelikle yeniden ayarlar.
Uzun vadeli ağız içi dinamiklerini inceleyen araştırmacılar bu stabilizasyon evresinin, vücudun dengeyi yeniden kurma yeteneğine dair önemli ipuçları sunduğunu vurgular. Bu süreç belirli bir takvime bağlı değildir; biyolojik sinyallerin, davranışsal etkilerin ve çevresel faktörlerin birleşimiyle ilerler. Ortaya çıkan sonuç, yapı ve işlev arasındaki sessiz uyumun şekillendirdiği yenilenmiş bir ağız ortamıdır.
Temizlik sonrası dönüşüm üzerine son düşünceler
Tartar temizliği sonrası başlayan süreç, ağız sisteminin ne kadar dinamik olduğunu gösterir. Dişler mikro yapısal açığa çıkma, duyusal yeniden ayarlama ve çevresel adaptasyon aşamalarından geçer. Her evre, mine, tükürük, mikrobiyal topluluklar ve sinir yollarının sürekli değişen bir ekosistem içinde nasıl etkileşime girdiğiyle ilgili yeni bir bakış açısı sunar.
Tartar temizliğini yalnızca basit bir işlem olarak görmek yerine, sonrasında neler olduğuna bakmak biyolojik süreçlerin ne kadar karmaşık olduğunu ortaya çıkarır. İnsanlar genellikle dişlerinin daha farkında olur, daha önce dikkatlerini çekmeyen küçük duyumları ve dokuları fark eder. Bu artmış farkındalık zamanla azalır ve ağız yeni dengesine ulaşır. Böylece biyoloji, algı ve uyumun iç içe geçtiği sürekli bir döngü tamamlanmış olur.