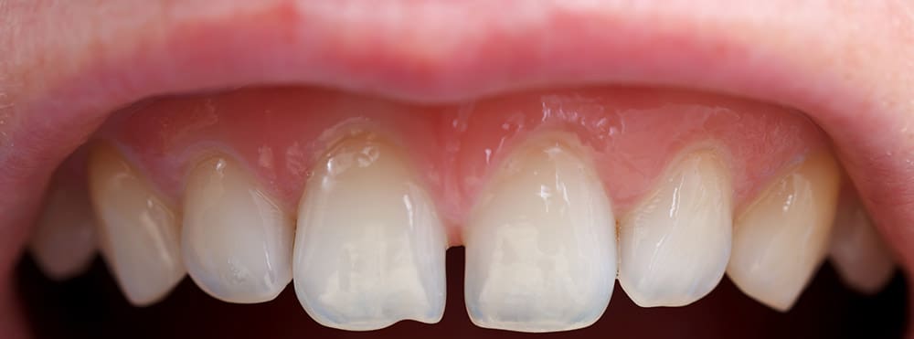
Diş saydamlığı, insanları sıklıkla şaşırtan bir olgudur. Dişin ışığın daha kolay geçtiği bölgelerini ifade eder ve bu da dişe hafif yarı saydam veya camsı bir görünüm verir. Bir miktar saydamlık doğal olsa da, aşırı veya düzensiz saydamlık altta yatan mine değişikliklerine veya yapısal sorunlara işaret edebilir. Diş saydamlığını anlamak, bireylerin ince değişiklikleri erken fark etmelerine, dikkatli gözlem yapmalarına ve potansiyel düzeltici stratejiler geliştirmelerine yardımcı olur.

Diş Şeffaflığını Anlamak
Diş şeffaflığı, öncelikle mine yoğunluğu ve kalınlığındaki değişikliklerden kaynaklanır. Mine, insan vücudundaki en sert madde olup doğal olarak yarı saydamdır. Mine aşındığında veya mineral içeriğini kaybettiğinde, ışık farklı şekilde geçer ve görünür şeffaf bölgeler oluşur. Beslenme, asit maruziyeti ve genetik faktörler, bu alanların ne kadar belirgin olacağını etkiler.
Şeffaflık her zaman uniform değildir. Bazı dişler, kenarlarında hafif bir saydamlık gösterirken, bazıları çiğneme yüzeylerinde lekeler halinde ortaya çıkar. Bu desenleri tanımak, mine sağlığı hakkında bilgi verir ve ileri değerlendirme için yol gösterir.
Mine mikro yapısı, bu görsel fenomenin oluşmasında kritik bir rol oynar. Araştırmalar, mine çubuklarının yönelimindeki ve prizmalar arasındaki boşluklardaki farklılıkların ışığın dişe nasıl etkileştiğini değiştirebileceğini gösterir. Bu mikroskobik değişiklikler çıplak gözle görünmese de diş şeffaflığı algısına katkıda bulunur.
Diş Şeffaflığının Yaygın Nedenleri
Diş şeffaflığının nedenleri çok faktörlüdür. Asitli yiyecekler, aşırı fırçalama ve mine erozyonu sık rastlanan etkenlerdir. Zamanla bu faktörler mine kalınlığını azaltır, dentin açığa çıkar ve şeffaf bir etki oluşturur.
Genetik de rol oynar. Bazı bireyler doğal olarak daha ince mineye sahiptir ve dişleri önemli bir aşınma veya dış etki olmasa bile şeffaflığa daha yatkındır. Benzer şekilde, gelişimsel anomaliler dişleri ışık geçişine daha hassas hale getirebilir.
Yaşam tarzı seçimleri de bu durumu şiddetlendirebilir. Yüksek miktarda narenciye, gazlı içecek veya asitli içecek tüketimi, mine aşınmasını hızlandırır. Çevresel faktörler, örneğin içme suyundaki florür seviyeleri, mine dayanıklılığını ve diş şeffaflığının ortaya çıkmasını etkileyebilir.
Diş Şeffaflığını Evde Tespit Etme
Diş şeffaflığını erken tespit etmek gelişmiş ekipman olmadan da mümkündür. Doğal ışıkta yapılan basit görsel kontroller, dişlerin kenarlarında veya yüzeylerinde olağandışı şeffaflığı gösterebilir. Bir ayna kullanarak, dişleri farklı açılardan eğip ışığın nasıl geçtiğini gözlemleyin.
Ayrıca, şeffaflıkla birlikte hafif doku değişiklikleri de görülebilir. İnce pürüzler veya küçük çıkıntılar, midenin inceldiği bölgelerle ilişkilidir. Bu dokunsal yaklaşım, görsel incelemeyle birleştiğinde diş yüzeyinin kapsamlı bir şekilde anlaşılmasını sağlar.
Dijital fotoğrafçılık, değişimleri zaman içinde izlemeye yardımcı olabilir. Benzer ışık koşullarında düzenli olarak fotoğraf çekmek, günlük olarak fark edilmeyen artan şeffaflığı gösterebilir. Bu değişimleri takip etmek, tedavi gerekip gerekmediğini belirlemede yardımcı olur.
Tedavi Yöntemi 1 – Remineralizasyon Teknikleri
Remineralizasyon, mineye mineral içeriğini geri kazandırmaya odaklanır ve erken diş şeffaflığına karşı etkilidir. Topikal florür uygulamaları, kalsiyum fosfat içerikli macunlar ve özel diş macunları mineral alımını teşvik edebilir.
Bu yöntem, dentinin henüz açığa çıkmadığı hafif vakalarda özellikle etkilidir. Düzenli kullanım, mineyi güçlendirir, ışık geçişini azaltır ve şeffaf bölgeleri kademeli olarak minimize eder. Bilimsel çalışmalar, florürün fosfat bileşikleriyle kombinasyonunun remineralizasyonu optimize ettiğini ve mine dayanıklılığını artırdığını göstermektedir.
Topikal tedavilere ek olarak, beslenme değişiklikleri mine iyileşmesini destekler. Mineral açısından zengin yiyeceklerin tüketilmesi ve asitli gıdaların azaltılması, diş şeffaflığı tedavisine katkı sağlar.
Tedavi Yöntemi 2 – Diş Bonding Uygulaması
Diş şeffaflığı, hafif mine incelmesinin ötesine geçtiğinde, diş bonding etkili bir çözüm olabilir. Bu yöntem, etkilenen bölgeye diş rengine uygun bir reçine uygulanmasını içerir ve şeffaf bölgeleri kapatır. Malzeme özenle şekillendirilir ve ışıkla sertleştirilir, doğal mine ile uyumlu bir görünüm sağlar.
Bonding sadece estetik açıdan iyileştirme sağlamakla kalmaz, aynı zamanda zayıflamış mineyi koruyan bir tabaka oluşturur. Hastalar genellikle görsel iyileşmeyi hemen fark eder ve prosedür, diğer restoratif seçeneklere kıyasla minimal invazivdir. Araştırmalar, düzenli bakım ile bondingin birkaç yıl sürebileceğini ve orta dereceli şeffaflık için pratik bir seçenek olduğunu göstermektedir.
Bonding özellikle ön dişler için uygundur, çünkü şeffaflık burada daha belirgindir. Veneer’lardan farklı olarak daha az mine aşındırılır, doğal diş yapısı korunurken görünüm iyileştirilir. Düzenli kontroller, bonding malzemesinin sağlam kalmasını ve mine bütünlüğünü desteklemesini sağlar.
Tedavi Yöntemi 3 – Porselen Veneerler
Şiddetli diş şeffaflığı için porselen veneerler, uzun ömürlü estetik ve koruyucu bir çözüm sunar. Veneerler, diş yüzeyine özel olarak hazırlanmış ince seramik kaplamalardır ve şeffaflığı tamamen kapatırken şekil ve rengi iyileştirir.
Porselen, doğal mineyi taklit ederek sorunsuz bir görünüm ve dayanıklılık sağlar. Bu tedavi, geniş mine kaybı veya remineralizasyon ve bonding ile çözülemeyen estetik kaygılar için tercih edilir. Bilimsel incelemeler, uygun bakım ile veneerlerin on yıl veya daha uzun süre işlev ve görünümü geri getirebileceğini göstermektedir.
Veneerler, görünüm dışında ek faydalar da sağlar. Açığa çıkan dentini kapatarak hassasiyeti azaltır ve dişleri daha fazla aşınmadan korur. Bonding’e göre daha invaziv olmasına rağmen modern teknikler, mümkün olduğunca doğal mineyi korur ve estetik ile diş sağlığını dengeler.
Diş Şeffaflığını İzleme ve Koruma
Tedaviden sonra bile, diş şeffaflığını yönetmek için sürekli bakım önemlidir. Nazik fırçalama ve diş ipi kullanımı gibi günlük ağız hijyeni, mine erozyonunu önler ve genel diş sağlığını korur. Aşırı asitli yiyecek ve içeceklerden kaçınmak, tekrar şeffaflık riskini azaltır.
Düzenli diş kontrolleri, profesyonellerin mine veya bonding malzemesindeki ince değişiklikleri tespit etmesini sağlar. Erken müdahale, diş şeffaflığının kötüleşmesini önler ve mevcut tedavilerin etkili kalmasını sağlar. İzleme, ayrıca yaşam tarzı veya beslenme alışkanlıklarının mine incelmesine katkısını gösterir.
Periyodik olarak remineralize edici diş macunu kullanımı, restoratif işlemlerden sonra bile mineyi güçlendirmeye yardımcı olur. Önleyici bakım ile profesyonel tedavilerin birleşimi, estetik ve diş ömrünü maksimuma çıkarır.
Diş Şeffaflığını Azaltmak İçin Yaşam Tarzı Değişiklikleri
Belirli alışkanlıklar, ele alınmadığında diş şeffaflığını artırabilir. Asitli yiyeceklerin tüketimini sınırlamak, şeker tüketimini azaltmak ve yemeklerden sonra su içmek basit ama etkili stratejilerdir.
Fırçalama tekniği de önemlidir. Yumuşak kıllı bir diş fırçası kullanmak ve aşırı baskı uygulamamak, mine aşınmasını önler. Bazı araştırmalar, asitli yemeklerden hemen sonra fırçalamamayı önererek mine erozyonunu azaltır.
Beslenme düzenlemeleri de mine sağlığını destekler. Kalsiyum, fosfor ve D vitamini açısından zengin yiyecekler, diş yapısını korur, ışığın geçişini azaltır ve dişlerin doğal opaklığını artırır.
Diş Şeffaflığı Tedavilerinin Karşılaştırması
| Tedavi Yöntemi | İnvazivlik | Dayanıklılık | Estetik İyileşme | Koruyucu Etki |
|---|---|---|---|---|
| Remineralizasyon | Yok | Orta | Hafif | Mineyi destekler |
| Diş Bonding | Düşük | 5–10 yıl | Orta-yüksek | Koruyucu tabaka sağlar |
| Porselen Veneerler | Orta | 10+ yıl | Yüksek | Dentin için güçlü koruma sağlar |
Bu tablo, remineralizasyonun erken şeffaflık için ideal olduğunu, bonding ve veneerlerin ise ileri vakalar için daha etkili olduğunu göstermektedir. Yöntem seçimi, mine durumu, estetik öncelikler ve uzun vadeli bakım tercihlerine bağlıdır.
Profesyonel Değerlendirme Gerektiren Belirtiler
Diş şeffaflığını erken fark etmek, daha ciddi mine kaybını önler. Yaygın göstergeler şunlardır:
- Dişlerin çiğneme kenarlarında fark edilen şeffaflık
- Sıcak veya soğuk yiyeceklere karşı artan hassasiyet
- Altındaki dentin görünür hale geldikçe sararma
- Pürüzlü veya ince mine yüzeyleri
Bu belirtiler hafif olsa bile, bir diş hekimine danışmak doğru değerlendirme sağlar. Erken tespit, minimal invaziv tedavilere olanak tanır ve veneer veya geniş restoratif işlemler gereksinimini azaltabilir.

Diş Şeffaflığını Önlemeye Yönelik Stratejiler
Diş şeffaflığını önlemenin temeli, mineyi güçlü tutmak ve dış etkenleri azaltmaktır. Önerilen stratejiler şunlardır:
- Beslenme Önlemleri: Asitli içecekleri, şekerli yiyecekleri ve atıştırma sıklığını sınırlayın. Kalsiyum, fosfor ve D vitamini açısından zengin gıdaları diyetinize ekleyin.
- Ağız Hijyeni Düzenlemeleri: Yumuşak kıllı diş fırçaları kullanın, aşırı kuvvet uygulamaktan kaçının ve florürlü veya remineralize edici diş macunlarını tercih edin.
- Yaşam Tarzı Alışkanlıkları: Diş gıcırdatmayı azaltın, aşırı beyazlatma işlemlerinden kaçının ve tükürük akışını desteklemek için yeterli su için.
Bu alışkanlıkları hayatınıza entegre ederek, mine aşınmasını yavaşlatabilir ve dişlerin doğal opaklığını koruyarak hem ağız sağlığını hem de estetiği destekleyebilirsiniz.
Diş Şeffaflığı Hakkında İleri Bilimsel Bilgiler
Son araştırmalar, diş şeffaflığının sadece mine kalınlığıyla değil, mikro yapısal değişiklikler ve mineral içeriği ile de ilişkili olduğunu göstermektedir. Araştırmalar, yaş ilerledikçe mine gözenekliliğinin arttığını ve ışığın daha kolay geçmesine izin verdiğini ortaya koymaktadır. Asitli diyetler, düşük pH maruziyeti ve bazı ilaçlar gibi çevresel faktörler bu süreci hızlandırabilir.
Araştırma aşamasında olan yenilikçi tedaviler arasında biyomimetik remineralizasyon yer almaktadır. Bu yöntem, hidroksiapatit birikimini teşvik ederek mine yoğunluğunu geri kazandırmayı amaçlar. Erken klinik çalışmalar, bu yöntemin invaziv prosedürlere gerek kalmadan şeffaflığı azaltabileceğini göstermektedir ve böylece önleyici bakım ile restoratif çözümler arasındaki boşluğu kapatır.
Psikolojik ve Estetik Etkiler
Diş şeffaflığı yalnızca ağız sağlığını etkilemez, aynı zamanda özgüven ve sosyal etkileşim üzerinde de etkili olabilir. Hastalar, diş kenarlarının görünürlüğü veya renk değişiklikleri nedeniyle özgüvensizlik yaşayabilir. Bu psikolojik boyutları anlamak, tedavi seçeneklerini değerlendirirken önemlidir.
Non-invaziv ve estetik prosedürler, örneğin bonding ve veneerler, sadece mine opaklığını geri kazandırmakla kalmaz, aynı zamanda özgüveni de artırır. İşlevsel restorasyonu estetik iyileştirme ile birleştirerek, bu tedaviler diş şeffaflığının hem biyolojik hem de duygusal boyutlarını ele alır.
Diş Şeffaflığı Hakkında Son Görüşler
Diş şeffaflığını anlamak, biyoloji, estetik ve yaşam tarzı unsurlarını harmanlayan çok yönlü bir yaklaşım gerektirir. Erken tespit ve önleyici stratejiler, mine bütünlüğünü korumada anahtar rol oynar. İleri vakalar için diş bonding ve porselen veneerler, dayanıklı ve etkili çözümler sunar.
Şeffaflığa bilimsel bilgi, kişiselleştirilmiş bakım ve yaşam tarzı düzenlemelerini birleştirerek yaklaşmak, hastaların dişlerinin hem sağlığını hem de görünümünü korumasını sağlar. Bu bütüncül anlayış, diş şeffaflığının etkili bir şekilde yönetilmesini ve doğal güzellik ile fonksiyonun korunmasını temin eder.