Diş Eti Çekilmesi, insanlar gülümsemelerindeki veya hislerindeki ince değişiklikleri fark etmeye başladıklarında genellikle kamuoyunda konuşulan bir konu haline gelir. Bu terim, diş yüzeyinin giderek daha büyük bir kısmını açığa çıkaran geniş bir diş eti kenarı değişiklikleri yelpazesini kapsar. Birçok tartışma günlük tetikleyicilere odaklansa da, bilimsel gözlemler yumuşak dokuların uzun vadeli mekanik, bakteriyel veya genetik etkilere nasıl tepki verdiğini vurguladığında konu çok daha ilgi çekici hale gelir. Bu, konuyu nüanslarla zenginleştirir ve diş eti seviyeleri farklı aşamalarda değişirken gerçekte neler olduğunu daha derinlemesine incelemenin kapısını açar.
Bu aşamaları anlamak, basit yüzey değişikliklerinin ötesine bakmayı gerektirir. Diş eti çizgisi, koruma, duyusal iletişim ve mikrobiyal dengeyi sağlayan dinamik bir yapının parçasıdır. Konumu değiştiğinde, çevre dokular, kemik ve ağız ortamı genellikle kendi yollarıyla uyum sağlar. Bu etkileşim, Diş Eti Çekilmesinin ilerlemesini, görünür değişikliklerin altında neler olduğunu bilmek isteyen araştırmacılar ve bireyler için özellikle ilgi çekici kılar.

Receding Gums için Erken Doku Sinyalleri
En erken aşamada, yumuşak doku davranışı genellikle çok hafif değişiklikler gösterir. Bazı kişiler dokunun dokusunda değişim veya hafif hassasiyet fark ederken, bazıları hiçbir belirti hissetmeyebilir. Bu aşamayı ilginç kılan şey, çalışmaların diş eti kenarının, görünür bir geri çekilme başlamadan önce uzun süreli hafif tahrişe veya mikrobiyal örüntülere tepki verebildiğini göstermesidir. Bu da erken dönemi estetik bir değişimden çok, dokuların içsel ya da dışsal etkilere karşı nasıl davranabileceğini tahmin etmeye yönelik bir süreç haline getirir.
Erken aşamanın karmaşıklığı, tepkilerin ne kadar farklı olabileceği düşünüldüğünde daha net anlaşılır. Bazı bireylerde belirgin bir iltihabi tablo görülürken, bazılarında neredeyse hiç görünmeyebilir. Araştırmacılar bu farklılıkların genetik özelliklere, fırçalama alışkanlıklarına veya doğal doku kalınlığına bağlı olabileceğini belirtiyor. Bu nedenle, erken aşamanın değerlendirilmesi genellikle dramatik bir değişim beklemek yerine yavaş ilerleyen değişimleri gözlemlemeyi içerir.
Receding Gums Hareketinin İkinci Aşamasında Yapısal Değişimlerin İlerlemesi
Diş etindeki değişimler bir sonraki aşamaya geçtiğinde, kenarda küçük ama fark edilir oynamalar görülmeye başlar. Bu aşama her zaman rahatsızlıkla ilişkili değildir. Daha çok dokunun mekanik veya mikrobiyal etkenlere karşı kendini stabilize etme çabasıyla ilgilidir. Birçok bilimsel tartışmada, bağ dokusu liflerinin düzensiz güçlere maruz kalmaya devam ettikçe yeniden örgütlendiği vurgulanır.
Bir diğer önemli nokta ise kemik ve diş eti dokusunun etkileşimidir. Diş eti kenarı değişim gösterirken, alttaki kemik süreçleri de farklılaşabilir. Bu mutlaka kemik kaybı olduğu anlamına gelmez. Aksine, ağız yapılarının gelen basınç, hijyen alışkanlıkları ve doğal yenilenme döngüleri aracılığıyla aldığı bilgilere göre uyum sağlayan bir sistem olduğunu gösterir. Bu sistemsel koordinasyon, Receding Gums ikinci aşamasının bireyler arasında neden bu kadar farklı seyrettiğini açıklayan önemli bir unsurdur.
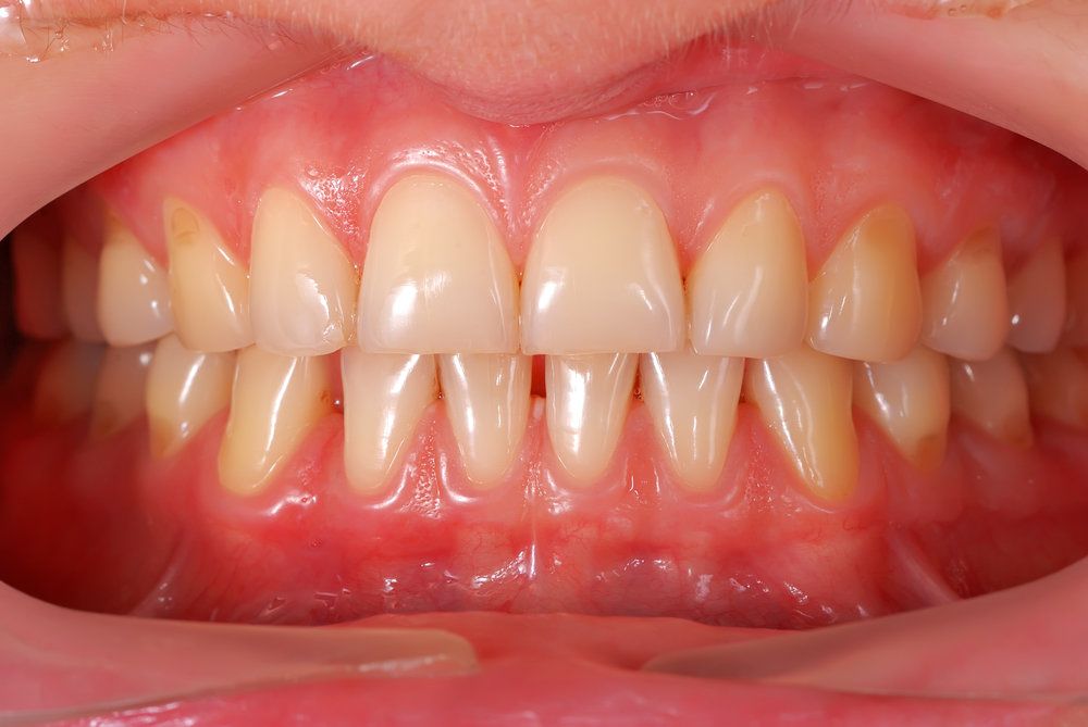
Üçüncü Aşama ve Diş Eti Kenarındaki Belirgin Görünürlük
Üçüncü aşama genellikle daha fazla dikkat çeker çünkü görünümdeki değişim daha belirgin hale gelir. Bu noktada diş eti çizgisi yeterince geri çekilmiş olur ve diş daha uzun görünür. Bu aşamayı bilimsel açıdan ilginç kılan şey, açığa çıkan kök yüzeyinin ağız ortamıyla nasıl etkileşim kurduğudur. Daha gözenekli olan kök yüzeyi, uyarı, sıcaklık ve mikrobiyal etkiler karşısında farklı tepkiler verir. Bu etkileşimler, birçok kişinin diş eti çekilmesiyle ilişkilendirdiği belirgin hissiyatların oluşmasına katkı sağlar.
Bir diğer karmaşıklık katmanı ise periodontal ligamentin uyum sürecidir. Araştırmacılar bu ligamenti, çevresindeki değişikliklere göre gerilimini ayarlayabilen duyarlı bir yapı olarak tanımlar. Diş eti kenarı hareket ettikçe, çevresindeki destek sistemi bazen telafi etmeye çalışır. Bu mikro uyarlamalar hassasiyet, çiğneme düzeni ve dokuların gelecekteki değişimlere vereceği tepkileri etkileyebilir. Bu nedenle üçüncü aşama sabit bir nokta olarak değil, dokular ile çevresel baskılar arasında süregelen bir etkileşim olarak değerlendirilir.
Dördüncü Aşama ve Receding Gums Yapısal Derinliği
Dördüncü aşamada, Receding Gums ile ilişkili değişimler yüzeyin ötesine geçerek daha geniş bir yapısal ağı etkilemeye başlar. Bu noktada diş eti kenarı yeterince ilerlemiş olduğundan alttaki anatomi daha fazla sürece dahil olur. Bu aşamayı inceleyen araştırmacılar, yumuşak doku, periodontal ligament ve destekleyici kemik arasındaki ortak uyum döngüsünü sık sık vurgular. Görünür değişim en dikkat çekici olan olsa da, içsel yeniden yapılanma bilimsel açıdan daha fazla ilgi uyandırır.
Bu aşamayı önceki aşamalardan ayıran şey, dokuların yeni konumlarına gösterdiği kararlılıktır. Diş eti artık küçük ayarlamalar yapmakla kalmaz, dişle olan yapısal ilişkisini farklı bir düzeye yerleştirir. Bu yerleşme süreci, yıllar içinde birikmiş mekanik, mikrobiyal ya da alışkanlık temelli etkilerin bir sonucunu yansıtabilir. Bilimsel tartışmalar, vücudun yapısal zorluklarla karşılaştığında bile dengeyi korumaya çalıştığını vurgular, bu da dördüncü aşamanın yorumlanmasını karmaşık hale getirir.
Beşinci Aşama ve Geniş Kapsamlı Diş Eti Hareketinin Uzun Vadeli Etkileri
Beşinci aşama, diş eti kenarının belirgin derecede yer değiştirdiği en ileri seviyeyi temsil eder. Bu aşama yalnızca görünür geri çekilmeyi değil, aynı zamanda çevredeki dokuların uzun süreli etkilenmeye nasıl yanıt verdiğini de içerir. Kök yüzeyi çevreyle daha fazla etkileşim yaşayabilir ve yakın yumuşak dokularda önceki aşamalardan farklı uyum örüntüleri görülebilir. Bu değişimler koruma, işlevsellik ve biyolojik yanıt arasındaki hassas dengeyi ortaya koyar.
Bu aşamayı önemli kılan, bireylerin bildirdiği geniş deneyim yelpazesidir. Bazıları artan hassasiyetten söz ederken, bazıları sıcaklık algısında ya da çiğneme hissinde farklılıklar bildirebilir. Bu deneyimler, gelişmiş diş eti hareketinin yalnızca görünümü etkilemediğini, daha bütünsel bir sistem değişimine işaret ettiğini doğrular. Araştırmacılar, periodontal yapının bu aşamada kendini nasıl yeniden düzenlediğini inceleyerek her dokunun uzun süreli yapısal değişime uyum sağlamadaki rolünü anlamaya çalışır.
Receding Gums İlerlemesini Etkileyen Davranışsal Unsurlar
Yapısal ve biyolojik faktörlerin ötesinde, Receding Gums ilerlemesi davranışsal unsurlarla da kesişebilir. Yeme alışkanlıkları, fırçalama teknikleri ve stres kaynaklı sıkma gibi davranışlar ağız ortamında değişimlere neden olabilir. Bu unsurlar herkeste aynı sonuçları oluşturmaz ancak çekilme örüntülerinin neden bu kadar farklı seyrettiğine dair ipuçları sunar. Davranışsal etkiler, her durumu benzersiz kılan değişkenlik katar ve bilimsel yorumların derinleşmesini sağlar.
Araştırmacılar kişisel rutinlerin diş eti kenarı çevresindeki mikro ortamı nasıl şekillendirdiğini sık sık vurgular. Basınç, sürtünme ve mikrobiyal çeşitlilik birleşerek dokuların zaman içinde tepki verebileceği ince yollar oluşturabilir. Bu tepkiler aylar veya yıllar boyunca devam ettiğinde, aşamadan aşamaya geçişe katkıda bulunur. Bu davranışları anlamak, bir suçlama değil, ağız sisteminin ne kadar dinamik olduğunu açıklama girişimidir.
Ortam Değişimlerinin Diş Eti Çekilmesi Dinamiklerindeki Rolü
Receding Gums durumunda çevresel etkiler yalnızca ağız hijyeniyle sınırlı değildir. Beslenme yapısı, genel sağlık durumundaki değişimler ve hormonal dalgalanmalar dokuların davranışını etkileyebilir. Bu etkenler diş etlerinin faaliyet gösterdiği biyokimyasal ortamı şekillendirir. Bazı çalışmalar tükürük bileşimindeki değişimlerin veya mikrobiyal topluluklardaki kaymaların özellikle ilerlemiş aşamalarda beklenenden daha büyük rol oynayabileceğini öne sürer.
Bir diğer dikkat çekici nokta ağız ortamının süreklilik halindeki değişime uyum sağlama biçimidir. Diş eti kenarı hareket ettiğinde, ağız mikrobiyal örüntülerini, duyusal yanıtlarını ve koruyucu bariyerlerini yeniden düzenleyebilir. Bu yeniden yapılanma bir anda gerçekleşmez, zaman içinde kademeli olarak ortaya çıkar. Bu çevresel uyarlamalar, aşamaların neden bireyler arasında bu kadar farklı ilerlediğine dair bilimsel anlayışa anlamlı katkılar sunar.
Receding Gums ile İlgili Sistem Düzeyi Yanıtlar
Receding Gums ileri aşamalara ulaştığında, vücut yalnızca diş eti kenarıyla sınırlı olmayan tepkiler göstermeye başlar. Ağız boşluğu tükürük, yumuşak dokular, sinir ağları ve mikrobiyal toplulukların sürekli iletişim halinde olduğu bir sistemdir. Diş eti konumu belirgin şekilde değiştiğinde bu ağ, uzun vadeli uyumu yansıtan çeşitli tepkiler üretebilir. Araştırmacılar bu tepkileri incelerken, duyusal algılardaki değişimleri, tükürük örüntülerini ve mikrobiyal dengeyi değerlendirir.
Bir diğer sistem düzeyi unsur, diş çevresindeki sinirlerin uzun süreli maruziyete nasıl yanıt verdiğidir. Bazı bireyler sıcaklık ve temas hassasiyetinde değişimler bildirirken, bazıları hiçbir fark hissetmeyebilir. Bu farklılık konuyu bilimsel açıdan daha da zenginleştirir. Bu örüntüleri gözlemlemek, ç
ekilmenin biyolojik sinyallerle nasıl etkileşim kurduğunu anlamaya yardımcı olur.
Receding Gums Uzun Vadeli Uyum Örüntülerinin Haritalanması
Receding Gums vakalarında uzun vadeli uyum, ağız sisteminin ne kadar dinamik olduğunu gösterir. Zaman içinde diş eti kenarı stabil kalabilir, hareket etmeye devam edebilir veya çevresindeki dokularla yeni etkileşim yolları geliştirebilir. Bu varyasyonlar akademik ilginin merkezinde yer alır çünkü diş etleri değişen ortama sürekli uyum sağlamak zorundadır.
Bilimsel tartışmalar, dokuların uzun süreli maruziyete karşı kendilerini nasıl düzenlediklerini sıkça vurgular. Bazı çalışmalar, vücudun yeni koşullara uyum sağlarken kolajen yoğunluğunda veya damar davranışında değişiklikler olabileceğini belirtir. Bu gözlemler kişiler arasında farklılık gösterse de, çekilmenin basit bir süreçten ziyade karmaşık ve uyarlanabilir bir gelişim olduğu gerçeğini destekler. Bu uzun vadeli örüntüleri anlamak, diş eti çekilmesinin neden bireyden bireye bu kadar farklı göründüğüne dair netlik sağlar.

Karşılaştırmalı Perspektifler ve Receding Gums’ın Daha Geniş Görünümü
Araştırmacılar Receding Gums durumunu farklı gruplar arasında karşılaştırdığında, çoğu zaman belirgin çeşitlilikle karşılaşır. Bazı bireylerde süreç yıllar boyunca yavaş ilerlerken, bazılarında daha kısa aralıklarla daha görünür değişiklikler oluşabilir. Bu çeşitlilik, diş eti çekilmesini tek tip bir süreç olarak değil, içsel, dışsal ve davranışsal etkilerin şekillendirdiği geniş bir yelpaze olarak değerlendirmeyi önemli hale getirir.
Karşılaştırmalı çalışmalar aynı zamanda farklı biyolojik faktörlerin nasıl kesiştiğini de vurgular. Örneğin bir araştırma, iltihap düzeylerinin mekanik kuvvetlerle nasıl etkileşime girdiğini veya beslenme alışkanlıklarının mikrobiyal yapıyı nasıl değiştirdiğini inceleyebilir. Bu bulgular, çekilme sürecinin çoklu değişkenlerin birleşimiyle oluştuğunu göstererek genel anlayışı genişletir. Yeni teknolojilerin bu ince etkileşimleri daha kolay gözlemlemeyi sağlamasıyla birlikte diş eti çekilmesi araştırmalarının genel çerçevesi de giderek genişlemektedir.
Davranışsal Yeniden Ayarlama ve Diş Eti Çekilmesinin İnsan Deneyimi
Analizin bir başka zengin alanı Receding Gums etrafındaki insan deneyimidir. Birçok kişi, diş etlerindeki hassasiyet veya estetik değişimlerin farkına vardıkça günlük alışkanlıklarını yeniden düzenlediğini ifade eder. Bu davranışsal uyum, sürecin önemli bir bileşenidir çünkü bireylerin besin dokularına, fırçalama biçimine veya sıcaklık farklılıklarına verdiği tepkileri doğrudan etkiler.
Araştırmacılar bu kişisel anlatıları nitel veri olarak kullanır. Bu anlatılar laboratuvar bulgularına bağlam kazandırır ve uzun vadeli diş eti davranışına yönelik tartışmalara derinlik katar. Kişisel deneyimler büyük farklılıklar gösterse de, çoğu zaman algı ile fizyolojik yanıt arasındaki bağlantıyı işaret eder. Bu bağlantıyı anlamak, bilim insanlarının yalnızca doku ölçümleriyle değil, aynı zamanda insan deneyimiyle de diş eti çekilmesini değerlendirmesine olanak tanır ve daha bütüncül bir bilimsel temel oluşturur.
Yapısal Yorumlama ve Receding Gums Çalışmalarının Son Aşamaları
Receding Gums bağlamında son aşamalar, yapısal, davranışsal ve biyolojik unsurların birleşerek tutarlı bir örüntü oluşturmasını anlamaya yönelik çalışmaları içerir. Araştırmacılar, farklı doku katmanlarının diş eti konumuna nasıl katkıda bulunduğunu veya uzun vadeli biyokimyasal etkilerin diş eti kenarının stabilitesini nasıl şekillendirdiğini sıkça analiz eder. Bu yapısal değerlendirmeler, ilerlemiş aşamalarda diş eti hareketinin hissiyat ve ağız içi dinamikler üzerindeki etkisini daha net ortaya koyar.
Bu analizlerden çıkan sonuç, çekilmenin sürekli gelişen bir olgu olduğudur. Statik değildir ve çoğu zaman öngörülebilir bir yol izlemez. Bunun yerine, bireyden bireye değişen çok katmanlı etkilerin birleşimiyle ilerler. Bu etkilerin birlikte incelenmesi, uzmanlara çekilmenin doğası ve zaman içinde ona uyum sağlayan sistemler hakkında daha derin bir anlayış kazandırır.
Receding Gums Aşamalarını Dinamik Bir Biyolojik Yolculuk Olarak Görmek
Receding Gums’ın çeşitli aşamalarda incelenmesi, yalnızca yumuşak dokudaki değişiklikleri ortaya çıkarmakla kalmaz; yapısal değişim, davranışsal evrim, çevresel etkiler ve uzun vadeli uyumla şekillenen dinamik bir biyolojik yolculuğu da gözler önüne serer. Her aşama, ağız sisteminin iç dengeyi nasıl sağladığına dair farklı bir bakış açısı sunar ve konuyu bilimsel açıdan ilgi çekici hale getirir.
Çekilmeyi basit bir sonuç olarak görmek yerine, aşamalar üzerinden değerlendirmek, diş etlerinin yıllar boyunca maruz kaldığı ince işaretlere ve etkilere nasıl yanıt verdiğini gösterir. Bu yaklaşım bilimsel anlayışı zenginleştirir ve ağız ortamına daha bütünsel bir bakış kazandırır. Sonuç olarak, tüm beş aşamanın birlikte ele alınması hem araştırmacılara hem de okuyuculara diş eti hareketinin ardındaki daha geniş ve birbirine bağlı hikayeyi görme fırsatı sunar.