Diş eti çekilmesi, genellikle göz ardı edilen bir ağız sağlığı sorunudur, ancak dünya genelinde milyonlarca insanı etkiler. Diş etleri yavaş yavaş dişlerden uzaklaştıkça, diş hassasiyeti, çürük riski ve estetik kaygılar artar. Peki en çok merak edilen soru: tedavi için hiç geç mi?

Diş Eti Çekilmesini Anlamak: Diş Etinizde Neler Oluyor?
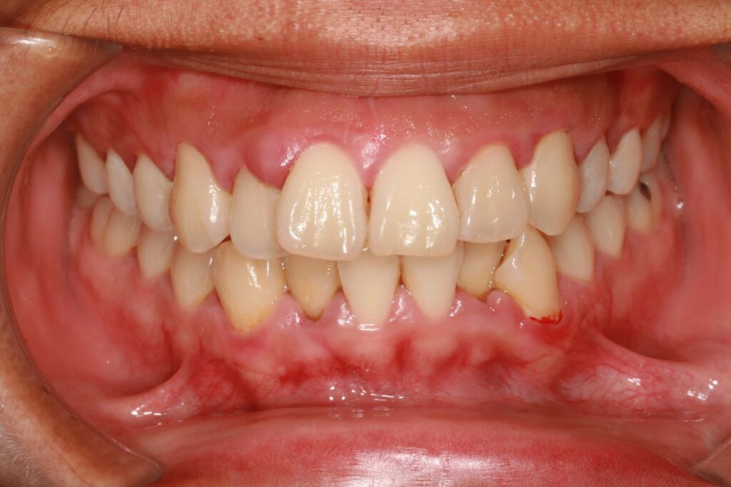
Diş eti çekilmesi, dişleri çevreleyen gingiva dokusunun zamanla küçülmesi veya çekilmesi durumudur ve dişin kökünün açığa çıkmasına yol açabilir. Bu durum sadece estetik bir problem değildir; ağız sağlığını da etkiler. Araştırmalar, 30 yaş üstü yetişkinlerin yaklaşık %50’sinde bazı derecelerde diş eti çekilmesi görüldüğünü göstermektedir.
Süreç genellikle yavaş ilerler, bu yüzden hassasiyet veya estetik sorunlar ortaya çıkana kadar fark edilmeyebilir. İlk belirtiler arasında köklerin hafifçe açığa çıkması, diş etinde hafif iltihaplanma ve fırçalama sonrası kanama yer alır. Diş eti dokusunun nasıl çalıştığını anlamak, tedavi potansiyelini değerlendirmek için kritik öneme sahiptir.
Diş Eti Çekilmesinin Nedenleri: Yanlış Fırçalamanın Ötesinde
Yanlış fırçalama teknikleri bilinen bir neden olsa da, diş eti çekilmesi birçok faktörden kaynaklanabilir. Genetik yatkınlık, agresif diş ipi kullanımı, hormonal değişiklikler ve diyabet gibi sistemik rahatsızlıklar rol oynayabilir. Ayrıca, diş gıcırdatma (bruksizm) veya tütün kullanımı da dokuların kaybını hızlandırabilir.
İlginç bir şekilde, araştırmalar, mükemmel ağız hijyenine sahip bireylerde bile genetik yatkınlık nedeniyle diş eti çekilmesi gelişebileceğini göstermiştir. Bu nedenle farkındalık ve düzenli kontrol çok önemlidir; çünkü önleyici stratejiler kişiye özel değişiklik gösterebilir.
Diş Eti Çekilmesinin Belirtileri: Erken Uyarı İşaretleri
Diş eti çekilmesini erken fark etmek, tedavi sonuçları açısından büyük fark yaratabilir. Yaygın belirtiler şunlardır:
- Sıcak, soğuk veya tatlı yiyeceklere karşı artan diş hassasiyeti
- Açığa çıkan kökler nedeniyle dişlerin daha uzun görünmesi
- Diş eti hattında hafif şişlik veya kızarıklık
- Diş etlerinin çekildiği bölgelerde boşluk oluşması
Erken tespit, minimal müdahaleli tedaviler için fırsat sağlar. Ancak ileri vakalarda, kemik kaybı ile birlikte diş eti çekilmesi görüldüğünde daha karmaşık işlemler gerekebilir.

Diş Eti Çekilmesi Tedavi Seçenekleri: Geri Döndürülebilir Mi?
Yanlış bilinenin aksine, tüm diş eti çekilmesi vakaları geri döndürülemez değildir. Tedavi, şiddet ve altta yatan nedene bağlıdır. Yaklaşımlar şunları içerir:
- Cerrahi olmayan müdahaleler: Hassasiyet giderici diş macunları, özel ağız hijyeni teknikleri ve hedefe yönelik florür uygulamaları erken evre çekilmeyi yönetebilir.
- Cerrahi seçenekler: Diş eti greftleri veya rejeneratif terapiler, dokuyu yeniden inşa etmeyi ve kökleri korumayı amaçlar.
Periodontal rejenerasyon üzerine yapılan güncel çalışmalar, kök hücre ve büyüme faktörleri kullanarak diş eti dokusunu yeniden oluşturmayı vaat ediyor. Bu tedaviler halen gelişme aşamasında olsa da gelecekte daha etkili çözümler sunma potansiyeline sahip.
Diş Eti Çekilmesini Önleme: Yaşam Tarzı ve Ağız Bakımı
Her zaman olduğu gibi önlem, tedaviden daha iyidir. Günlük ağız bakım rutininde basit değişiklikler, diş eti çekilmesi ilerlemesini azaltabilir:
- Yumuşak kıllı diş fırçası kullanmak ve dairesel, nazik fırçalama hareketi yapmak
- Tütün ürünlerinden uzak durmak ve alkol tüketimini sınırlamak
- Diş gıcırdatıyorsanız özel gece plakları kullanmak
- Diş hekimi kontrollerini düzenli yapmak ve diş eti sağlığını takip etmek
Bilimsel raporlar, yaşam tarzı değişiklikleri ve düzenli profesyonel bakımın, diş eti kaybının ilerlemesini ciddi şekilde azalttığını göstermektedir.
İleri Derece Diş Eti Çekilmesi: Tedavi Karmaşıklaşabilir
Ciddi vakalarda, diş eti çekilmesi kemik kaybı ve periodontal hastalıkla birlikte görülebilir. Bu durumlarda kapsamlı periodontal değerlendirme gerekir ve aşağıdaki uygulamalar gündeme gelebilir:
- Yönlendirilmiş doku rejenerasyonu
- Bağ dokusu greftleri
- Uzun vadeli bakım programları
İleri evrelerde bile modern diş hekimliği, işlevi ve estetiği geri kazandıracak seçenekler sunar. Ancak sonuçlar bireysel faktörlere bağlı olarak değişir. Araştırmalar, erken müdahalenin her zaman en etkili strateji olduğunu vurgulamaktadır.
Diş Eti Çekilmesine Karşı Harekete Geçmek
Diş eti çekilmesi, sadece estetik bir problem değil; yaşam boyu ağız sağlığını etkileyebilecek fonksiyonel sonuçları vardır. Erken müdahale en iyi prognozu sağlarken, periodontal terapideki modern gelişmeler daha ileri vakalarda da umut vermektedir. Dişlerinizi ve diş etlerinizi takip etmek, risk faktörlerini anlamak ve profesyonel değerlendirme almak, bu yaygın ağız sağlığı sorununu yönetmenin kilit adımlarıdır.
Livera Klinik olarak eğitim, farkındalık ve kişiye özel tedavi yaklaşımlarına önem veriyoruz. Her aşamada, diş eti çekilmesi farkındalığı ve doğru adımlar, hem estetik hem de fonksiyonel bir gülüş için kritik öneme sahiptir.