Modern restoratif diş hekimliğinde, Diş Destekleri hasar görmüş dişleri güçlendirmede ve restorasyonların uzun ömürlü olmasını sağlamada kritik bir rol oynar. Bu küçük ama etkili yapılar, endodontik tedavi görmüş dişler için iç destek sağlar ve protez diş hekimliğinde temel bir unsur olarak kabul edilir. Kronların tutuculuğunu artırmaktan zayıf kökleri stabilize etmeye kadar birçok görev üstlenen Diş Destekleri, restoratif çözümler arayan hem diş hekimleri hem de hastalar için önemli bir konudur.

Diş Destekleri Nedir ve Neden Önemlidir?
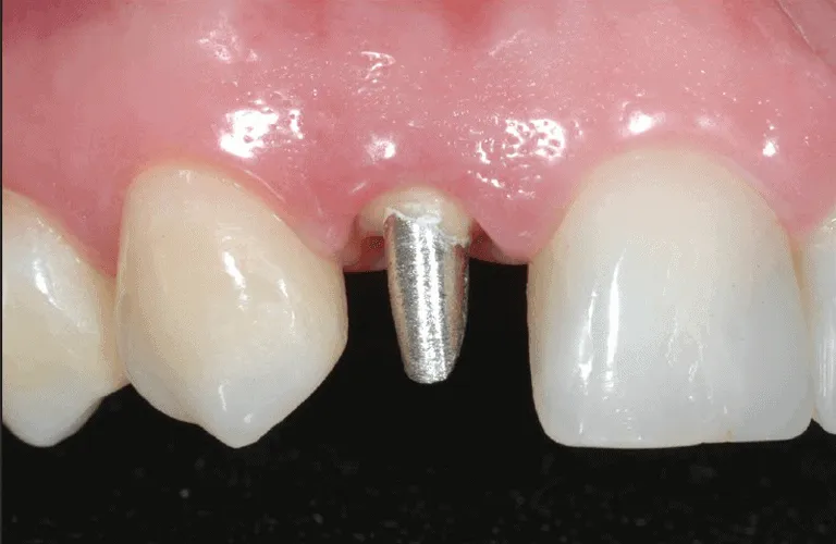
Diş Destekleri, bir dişin kök kanalına yerleştirilen silindirik veya konik yapılar olup, kron veya köprü gibi restorasyonlar için iç destek sağlar. Temel amaçları, kök boyunca stresin eşit şekilde dağılmasını sağlayarak, çürük veya travma nedeniyle ciddi şekilde yapısı kaybolmuş dişlerde kırılmaları önlemektir.
Son araştırmalar, Diş Destekleri ile restore edilen dişlerin, destek kullanılmadan restore edilen dişlere kıyasla çok daha yüksek kırılma direncine sahip olduğunu göstermektedir. Destek türü, kök anatomisine, kalan diş dokusuna ve estetik gereksinimlere bağlı olarak seçilir; ancak temel prensip aynıdır: iç destek, restorasyonun dayanıklılığını artırır.
İlginç bir şekilde, Diş Destekleri yalnızca mekanik bir destek sağlamaz. Restoratif materyallerin diş yapısına daha güvenli bir şekilde bağlanmasını sağlayan bir ara yüz görevi görerek mikro hareketi azaltır ve olası başarısızlık riskini düşürür.
Diş Desteklerinin Türleri
Diş destekleri, malzeme, şekil ve uygulama tekniğine göre sınıflandırılabilir. Her tür, klinik duruma bağlı olarak benzersiz avantajlar sunar.
- Metal Destekler
Geleneksel paslanmaz çelik veya titanyum destekler yüksek dayanıklılığa ve rijitliğe sahiptir. Özellikle fonksiyonel kuvvetlerin yüksek olduğu arka dişlerde idealdir. Ancak, ön dişlerde estetik açıdan bazen sorun yaratabilir. - Fiber Destekler
Cam veya karbon fiber ile güçlendirilmiş kompozit reçineden üretilirler. Fiber destekler daha esnek olup doğal diş dokusunun esnekliğini taklit eder. Ayrıca, ön dişlerde estetik uyum sağlar. - Döküm Destekler ve Çekirdekler
Diş alaşımlarından özel olarak hazırlanır. Düzensiz kök kanalları veya ciddi yapısal kayıplarda kullanılır. Maksimum destek ve hassasiyet sağlar, ancak laboratuvar çalışması gerektirir. - Hazır Destekler
Önceden üretilmiş ve hızlı uygulama imkânı sunan desteklerdir. Metal veya fiber olabilirler. Kolay uygulanabilir ve maliyet-etkin çözümler sunar.
| Destek Türü | Malzeme | Kullanım Alanı | Avantajlar | Dikkat Edilmesi Gerekenler |
| Metal | Paslanmaz çelik/Titanyum | Arka dişler | Dayanıklılık, uzun ömür | Estetik sınırlamalar |
| Fiber | Cam/Karbon fiber | Ön dişler | Estetik, esnek | Hafifçe daha düşük dayanıklılık |
| Döküm | Diş alaşımları | Düzensiz kökler | Özel uyum, maksimum destek | Laboratuvar çalışması gerekir |
| Hazır | Metal veya fiber | Çeşitli uygulamalar | Maliyet etkin, hızlı uygulama | Daha az özelleştirme imkanı |

Diş Desteklerinin Uygulama Süreci
Diş Destekleri uygulaması titizlik ve planlama gerektiren bir prosedürdür:
- Endodontik Hazırlık
Dişin enfeksiyondan arınmış olması ve kök kanalının tamamen temizlenmiş olması gerekir. Destek uygulamasının başarısı, endodontik tedavinin kalitesine bağlıdır. - Destek Alanının Hazırlanması
Dolgu materyalinin bir kısmı çıkarılarak post alanı oluşturulur. Alanın derinliği ve çapı, seçilen desteğe uygun olmalıdır. - Destek Seçimi ve Simantasyonu
Seçilen destek, uygunluğu kontrol edildikten sonra reçine veya cam iyonomer siman ile sabitlenir. Doğru yapışma, stresin eşit dağılımını ve gevşemenin önlenmesini sağlar. - Çekirdek Oluşumu ve Kron Yerleştirme
Destek sabitlendiğinde, dişin şeklini yeniden oluşturacak bir çekirdek yapılır ve ardından restorasyonu tamamlamak için kron yerleştirilir.
Titiz bir uygulama, dişi güçlendirirken kırılma risklerini en aza indirir.
Diş Desteklerinin Faydaları
Diş Destekleri birçok avantaj sağlar:
- Gelişmiş Yapısal Dayanıklılık: Çiğneme kuvvetlerini kök boyunca eşit dağıtarak kırılma riskini azaltır.
- Artan Tutuculuk: Kalan diş yapısı az olsa bile kron ve köprülerin tutuculuğunu artırır.
- Estetik Avantajlar: Fiber destekler, özellikle ön dişlerde doğal görünümlü restorasyonlar sağlar.
- Restorasyonların Ömrünü Uzatma: Çekirdek destekleyerek protezlerin dayanıklılığını artırır.
Araştırmalar, fiber destekli dişlerin esneklik ve kırılma direncini koruduğunu ve metal desteklere göre daha güvenli olduğunu göstermektedir.
Doğru Diş Desteği Seçimi
Uygun desteğin seçimi birkaç faktöre bağlıdır:
- Kök Anatomisi: Eğri veya dar kanallar için esnek fiber destekler önerilir.
- Kalan Diş Yapısı: Büyük yapısal kayıplarda özel döküm destekler gerekir.
- Estetik Gereksinimler: Görünür alanlarda diş renginde destekler tercih edilir.
- Fonksiyonel İhtiyaçlar: Arka dişler için rijit metal destekler uygundur.
Diş hekimleri, tanısal görüntüleme ve klinik değerlendirme ile en uygun desteği belirler. Yanlış seçim, hem fonksiyon hem de dayanıklılık açısından olumsuz sonuçlar doğurabilir.
Diş Destekleri Hakkında Yaygın Yanılgılar
Diş Destekleri hakkında bazı yanlış kanılar vardır:
- Yanılgı 1: Destekler Kök Kırıklarına Yol Açar
Yanlış uygulama veya aşırı hazırlık dışında, uygun yerleştirilen destekler dişi güçlendirir. - Yanılgı 2: Tüm Destekler Aynı Görünür
Aslında destekler, malzeme, tasarım ve esneklik açısından farklılık gösterir, bu da hem güç hem de estetik üzerinde etkilidir. - Yanılgı 3: Destekler Sadece Çok Hasarlı Dişlerde Gerekir
Orta derecede zarar görmüş dişler bile post desteği ile uzun ömürlü restorasyon sağlayabilir.
Bu yanılgıların giderilmesi, hastaların bilinçli kararlar almasını sağlar ve restoratif prosedürlere güveni artırır.
Diş Desteklerinde Gelecek Trendler
Diş hekimliğinde yenilikçi teknolojiler, Diş Destekleri alanında da etkili olmaktadır. Biyouyumlu malzemeler, 3D yazıcı ile özel postlar ve yeni fiber kompozitler öne çıkıyor. Amaç, maksimum dayanıklılığı, estetiği ve minimal müdahaleyi bir araya getirmektir.
Araştırmalar, desteklerle doğal dentin dokusunu entegre eden restorasyon yöntemlerini inceliyor. Gelecekte, destek restorasyonları, mekanik güçlendirmeyi biyolojik korunma ile uyumlu hale getirecek gibi görünüyor.
Diş Destekleri, modern restoratif diş hekimliğinin vazgeçilmez araçlarıdır. Yapısal güçlendirme, artan tutuculuk ve estetik çözümler sunarlar. Türlerini, uygulama süreçlerini ve faydalarını anlamak, hem klinik hem de hasta açısından başarılı sonuçlar sağlar. Doğru destek seçimi ve titiz uygulama ile uzun ömürlü, güvenilir ve estetik restorasyonlar sağlanabilir.